Eroosio – hampaan pinnan kuluminen ja sen hoito
Hampaiden eroosio eli hammaskiilteen liukeneminen on yleinen vaiva. THL:n Terve Suomi -tutkimuksen mukaan eroosion esiintyvyys on huolestuttavaa, minkä vuoksi sen ehkäiseminen on ensisijaisen tärkeää. Vaikka eroosio etenee vähitellen, sen seuraukset voivat olla merkittäviä, jos vaivaa ei hoideta ajoissa. Lue lisää hampaiden eroosiosta, sen syistä, seurauksista ja ennaltaehkäisystä.
Mikäli olet kiinnostunut eroosiovaurioiden esteettisestä korjaamisesta, varaa maksuton kerrostusmuovikonsultaatio.
Mikä on eroosio?
Eroosio tarkoittaa hampaiden kemiallista kulumista, eli hampaiden kiilteen syöpymistä ja liukenemista. Kiille on hampaan uloin ja kovin kerros, joka suojaa vaurioilta. Kiilteen heikentyessä hampaat altistuvat herkemmin reikiintymiselle ja muille ongelmille, sillä kiille ei uusiudu ja sen alla oleva pehmeämpi hammasluu kuluu kiillettäkin nopeammin.
Eroosiossa hampaan pinta kuluu happojen vaikutuksesta, mikä voi johtaa hammaskiilteen ohenemiseen, hampaiden vihlontaan, purennan muutoksiin ja esteettisiin haittoihin.
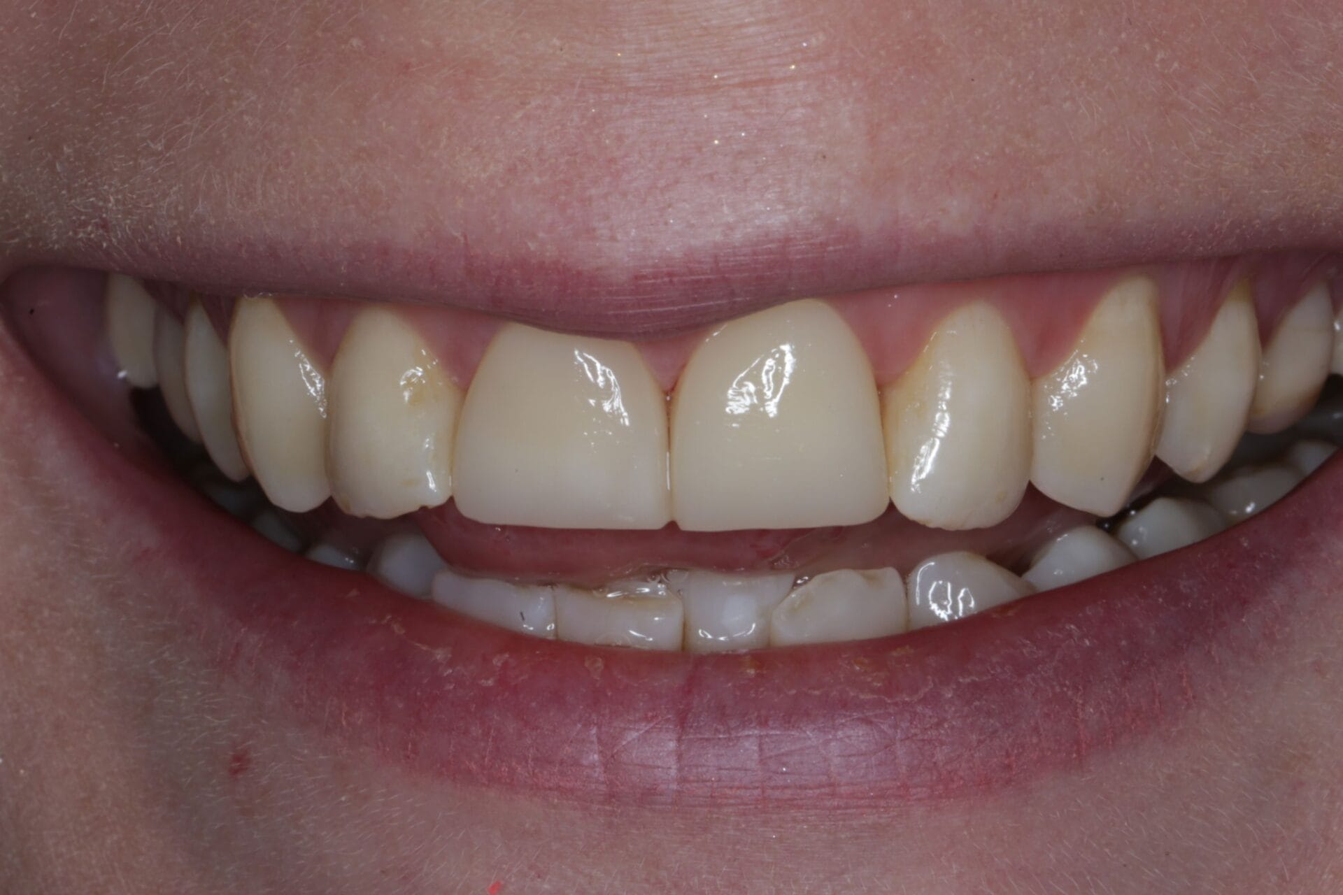
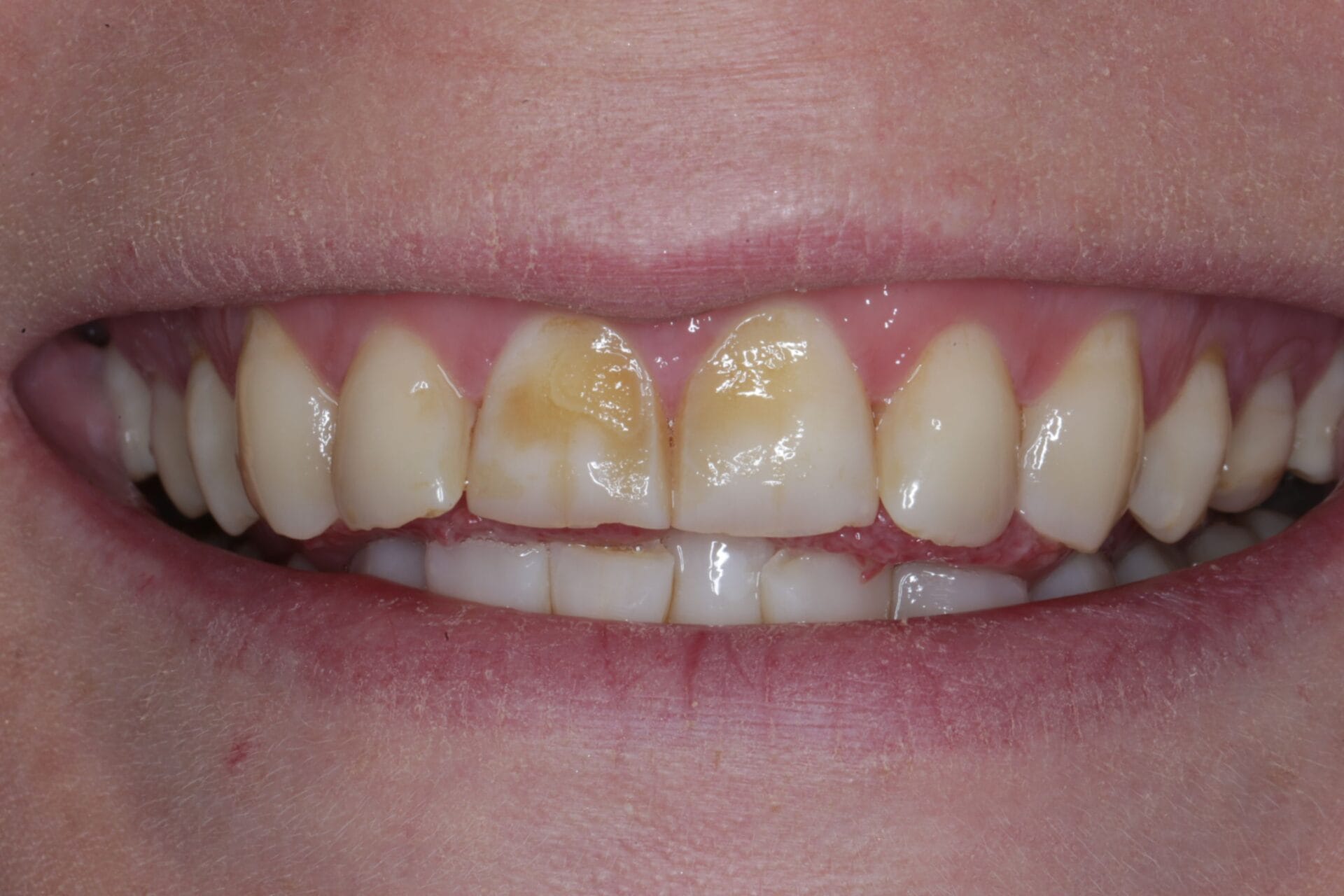
Kuva: Eroosiovaurioiden hoito kerrostusmuoveilla. Hoidon toteutti hammaslääkäri Riina Saarinen.
Mistä hampaiden eroosio johtuu?
Eroosion taustalla on yleensä happojen pitkäaikainen vaikutus hampaan pintaan. Eroosiota voivat aiheuttaa:
- Happamat ruoat ja juomat. Runsaasti sitruunahappoa, etikkahappoa, omenahappoa, viinihappoa tai muita happamia aineita sisältävät virvoitusjuomat, urheilu- ja energiajuomat, mehut sekä tietyt makeiset ja hedelmät voivat liuottaa hammaskiillettä.
- Refluksi ja vatsahappojen nousu. Närästys, refluksitauti ja toistuva oksentelu voivat tuoda vatsahappoja suuhun, mikä altistaa hampaita jatkuville happohyökkäyksille.
- Kuiva suu. Sylki auttaa neutraloimaan happoja ja suojaa hampaita. Kuivassa suussa happamat aineet jäävät hampaiden pinnoille pidemmäksi aikaa, mikä altistaa hampaat vaurioille.
Eroosiota aiheuttavat erityisesti sellaiset elintarvikkeet, joiden pH-arvo on alle 5,5. Hiilihappo ei ole pahaksi hampaille, vaan juomien tai elintarvikkeiden happamuus aiheuttaa eroosiota ja sokeri reikiintymistä. Mikäli hapan ruoka tai juoma sisältää kalsiumia, eroosiota ei tapahdu yhtä helposti. Myös pureskellut hedelmät ovat vähemmän erosiivisia kuin puristetut mehut, koska pureskelu lisää syljen eritystä ja laimentaa happoja.
Eroosion oireet
Eroosion oireet voivat vaihdella lievästä vihlonnasta näkyviin muutoksiin hampaissa. Oireita ovat usein hampaiden lisääntynyt herkkyys kylmälle, kuumalle tai makealle, hampaiden värimuutokset, ja hampaiden reunojen läpikuultavuus. Hampaat näyttävät usein keltaisemmilta hammasluun paljastuessa, mikä voi aiheuttaa esteettistä haittaa.
Miten eroosiota voi ehkäistä?
Eroosion etenemistä voidaan hidastaa ja sen aiheuttamia oireita lievittää tehokkaasti. eSmile tarjoaa kattavaa ja yksilöllistä hoitoa eroosion ehkäisemiseksi. Laadimme yhdessä sinulle sopivan hoitosuunnitelman, joka voi sisältää omahoidon ohjausta, ruokavalion muutoksia ja tarvittaessa hammaslääketieteellisiä toimenpiteitä.
Jos eroosio on jo aiheuttanut merkittäviä vaurioita, hampaita voidaan korjata esimerkiksi seuraavilla ratkaisuilla:
- Hammaslaminaatit. Eroosiovaurioita voidaan korjata esimerkiksi hammaslaminaateilla, jotka tarjoavat luonnollisen ja esteettisen lopputuloksen. Hammaslaminaatti eli posliinikuorikko sopii korjaamaan esimerkiksi hampaan kulumista, lohkeamista, värimuutoksia tai kiillelaikkuja.
- Kerrostusmuovit. Hampaiden kerrostusmuovit ovat erinomainen vaihtoehto kuluneille, värjääntyneille tai lohjenneille hampaille. Kerrostusmuovit eivät vahingoita tervettä hammaskudosta, eikä toimenpide vaadi porausta tai hampaiden hiomista.
Myös omahoidolla on suuri merkitys eroosion hallinnassa. Harjaa hampaat hellävaraisesti kahdesti päivässä ja vältä harjaamista heti happaman ruoan tai juoman nauttimisen jälkeen. Odota mieluummin noin tunti, jotta sylki ehtii neutraloida hapot. Fluoripitoisen hammastahnan käyttö ja hammasvälien puhdistus hammaslangalla tai hammasväliharjalla on myös tärkeää hyvän suuhygienian ylläpitämiseksi.
Hampaiden eroosion korjaus eSmilellä
eSmile tarjoaa laadukkaita esteettisen ja perushammashoidon palveluita. Asiantuntevat hammaslääkärimme tutkivat suusi ja hampaasi huolellisesti ja selvittävät eroosion laajuuden sekä sen syyt.

