Riina Saarinen
Olen valmistunut hammaslääkäriksi Turun yliopistosta vuonna 2022, ja minulla on monipuolisesti kokemusta perushammashoidosta sekä julkisella että yksityisellä sektorilla. Olen lämminhenkinen ja helläkätinen, joten vastaanotollani sinun ei tarvitse jännittää. Esteettinen hammashoito on minulle lähellä sydäntä, sillä siinä yhdistyvät terveys, estetiikka ja asiakkaan yksilölliset tarpeet ja toiveet.
Pidän tärkeänä pysyä ajan tasalla alan uusimmista menetelmistä, ja haluan tarjota sinulle modernia ja yksilöllisesti suunniteltua hoitoa. Terve suu ja toimiva purenta ovat aina hoitosuunnitelmien lähtökohta. Esteettisissä hoidoissa tavoitteenani on aina mahdollisimman noninvasiivinen lähestymistapa, jossa sinun toiveesi ja terveen hammaskudoksen säilyttäminen ovat etusijalla.
Pidetään yhdessä huolta ainutlaatuisesta hymystäsi. Nähdään vastaanotolla!
Palvelen asiakkaitani suomeksi ja englanniksi.
Teen muun muassa seuraavia hoitoja:
- Kerrostusmuovit
- Invisalign-oikomishoidot (myöls laajat comprehensive-hoidot)
- Perushammashoito (tarkastukset, paikkaukset, juurihoidot, hampaiden poistot)
- Keraamiset hammaslaminaatit, kruunut, keraamiset täytteet
- Purentakiskot ja retentiolangat

Riina Saarinen
Hammaslääkäri
eSmile Helsinki & Espoo
Esimerkkihoitoja
Referenssi
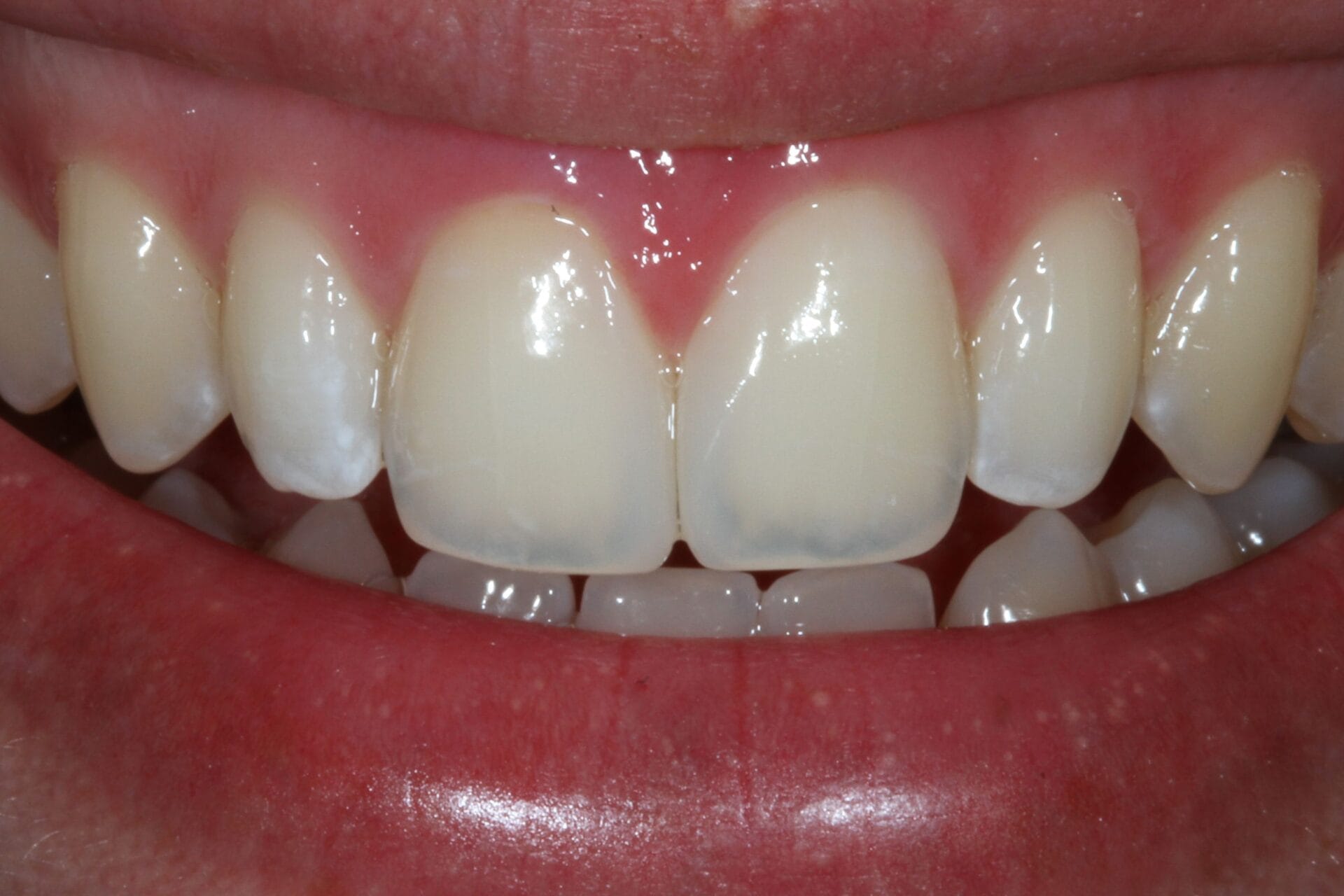
Diasteeman sulku kerrostusmuovilla
Asiakas toivoi etuhampaiden välisen raon eli diasteeman sulkemista. Päädyttiin muotoilemaan kahta etuhammasta kerrostusmuovilla.
Referenssi
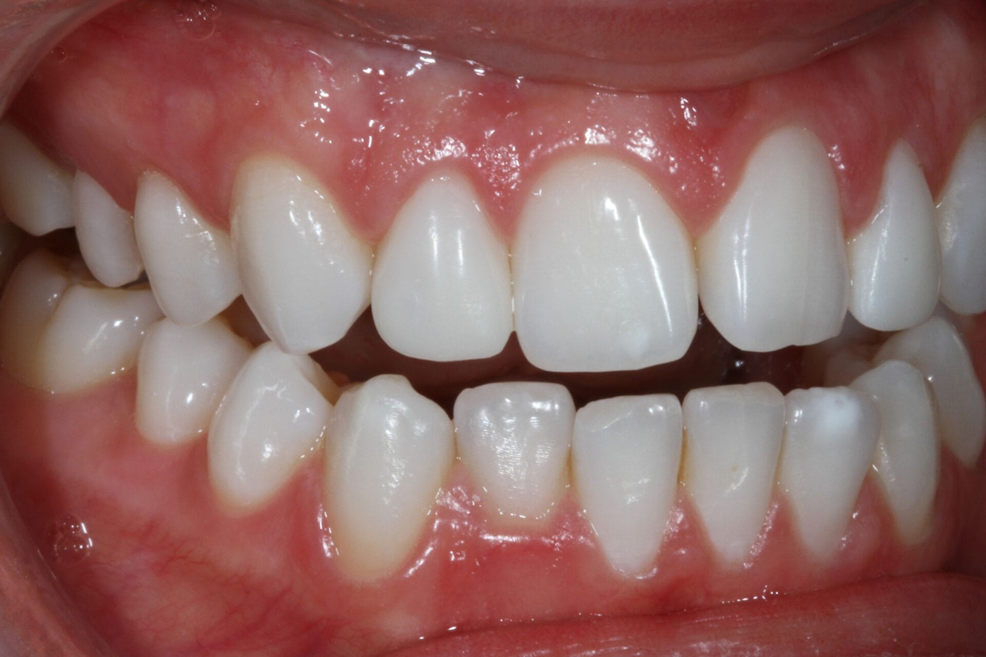
Eroosiovaurioiden korjaus esteettisillä kerrostusmuoveilla
Asiakkaalla oli etuhampaissa eroosiovauriot, jotka aiheuttivat vihlontaa ja häiritsivät esteettisesti.
Etuhampaita korjattiin esteettisillä kerrostusmuoveilla.
Referenssi
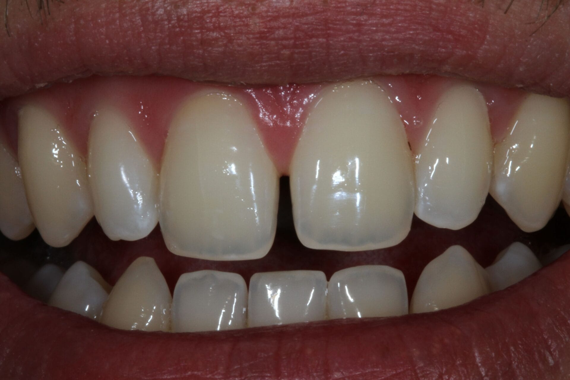
Etuhampaiden raon sulku kerrostusmuovilla
Asiakasta häiritsi etuhampaiden välinen rako. Ensin hampaat valkaistiin kombinaatiovalkaisulla ja lopuksi etuhampaiden rako suljettiin kerrostusmuovilla.
Referenssi
Etuhampaiden ja kiertyneen kulmahampaan muotoilu kerrostusmuovilla
Asiakkaan etuhampaita muotoiltiin kerrostusmuovilla etuhampaiden välisen raon sulkemiseksi. Lisäksi kiertynyttä kulmahammasta d23 (kuvassa oikealla ylhäällä) muotoiltiin symmetrisemmäksi. Ennen kerrostusmuoveja asiakkaalle tehtiin kombinaatiovalkaisu.
Referenssi
Kakkoshampaiden muotoilu kerrostusmuovilla
Asiakkaan kakkoshampaat olivat synnynnäisesti pienikokoiset ja hieman kiertyneet. Asiakas ei toivonut oikomishoitoa, joten kakkoshampaita päädyttiin muotoilemaan kerrostusmuovilla symmetrisen hammasrivin saavuttamiseksi.
Kustannukset
| Esimerkkihintoja | Hinta |
|---|---|
| Konsultaatio Ensimmäinen konsultaatio on maksuton. Jos käyt konsultaatiossa useamman kerran, seuraavien konsultaatioiden hinta on 110€. | Maksuton |
| Kerrostusmuovilaminaatit Tyypillisesti suuri muutos saadaan aikaan 6–10 ylähampaan muovilaminaateilla. | n. 400€ / hammas |
| Pienet muotoilut kerrostusmuoveilla | n. 150–350€ per hammas |
| Keraamiset hammaslaminaatit | n. 1200€ / hammas |
| Invisalign-oikomishoidot Kiinteä pakettihinnoittelu. Hinta perustuu hoidon laajuteen. Tutustu hinnastoon täällä. | 2500–7350 € |
Tutustu eSmilen hinnastoon täällä.
Ajanvaraus
Voit varata Riinalle ajan alla olevalla ajanvarauslomakkeella tai puhelimitse 010 219 8700.
Ohjeita ajanvaraukseen
Voit varata ajan yleisimpiin toimenpiteisiin nettiajanvarauksestamme. Mikäli sopivaa aikaa ei löydy tai et ole varma mikä olisi sinun tilanteeseesi sopiva palvelu tai oikea asiantuntija, voit varata ajan puhelimitse numerosta 010 219 8700 tai voit varata maksuttoman hoitoarviopuhelun täältä.
Ajanvaraukseen vaaditaan henkilötunnus ja tietojen suojauksessa käytetään ssl-varmennetta.
Huomioithan, että vain ensimmäinen konsultaatio on maksuton. Jos käyt konsultaatiossa useamman kerran samasta syystä, seuraavien konsultaatioiden hinta on 110€.
Ajan siirtäminen ja peruuttaminen
Alle kahden tunnin hoitoaika tulee peruuttaa tai siirtää vähintään 24 tuntia ennen varattua aikaa. Vähintään kahden tunnin hoitoaika sekä suu- ja leukakirurgin ajat tulee peruuttaa 72 tuntia ennen hoitoaikaa. Myöhemmin perutusta tai peruuttamattomasta ajasta veloitamme 100 € jokaista alkavaa tuntia kohden, kuitenkin enintään 300 €.
Peruutukset ja siirrot voi tehdä Oma eSmilen kautta, soittamalla 010 219 8700 tai sähköpostitse info@esmile.fi.

