Siiri Savolainen
Olen Siiri Savolainen ja toimin eSmilen Kuopion vastaanotolla yleishammaslääkärinä. Kiinnostuksen kohteenani esteettisen hammashoidon osalta ovat erityisesti kerrostusmuovitytöt. Lisäksi teen mielelläni perushammashoitoa kuten tarkastuksia, hampaiden juurihoitoja ja poistoja. Olen myös perehtynyt Invisalign kalvo-oikomiseen.
Olen valmistunut hammaslääkäriksi Kuopiosta vuonna 2017. Yksityisen sektorin lisäksi olen työskennellyt terveyskeskuksissa, sairaalassa sekä opetustehtävissä. Kouluttaudun säännöllisesti, jotta voin tarjota nykyaikaista, laadukasta ja kokonaisvaltaista hammashoitoa estetiikka huomioiden.
Tavoitteeni on tehdä työni mahdollisimman kivuttomasti, potilaan toiveita kuunnellen. Kohtaan asiakkaat lämmöllä, ja vastaanotollani on rento ilmapiiri.
Olet lämpimästi tervetullut vastaanotolleni. Hoidan mielelläni hammashoitoa pelkääviä tai jännittäviä asiakkaita, ja myös perheen pienimpiä. Valitettavasti en voi vastaanottaa Pohjois-Savon hyvinvointialueen palveluseteliasiakkaita.
Erityisosaaminen
- Perushammashoito (tarkastukset, paikkaukset, juurihoidot, poistot)
- Kerrostusmuovit
- Invisalign-oikomishoidot
- Pelkopotilaiden hoito
- Lasten ja nuorten hammashoito

Siiri Savolainen
Hammaslääkäri
eSmile Kuopio
Potilastapauksia
Referenssi
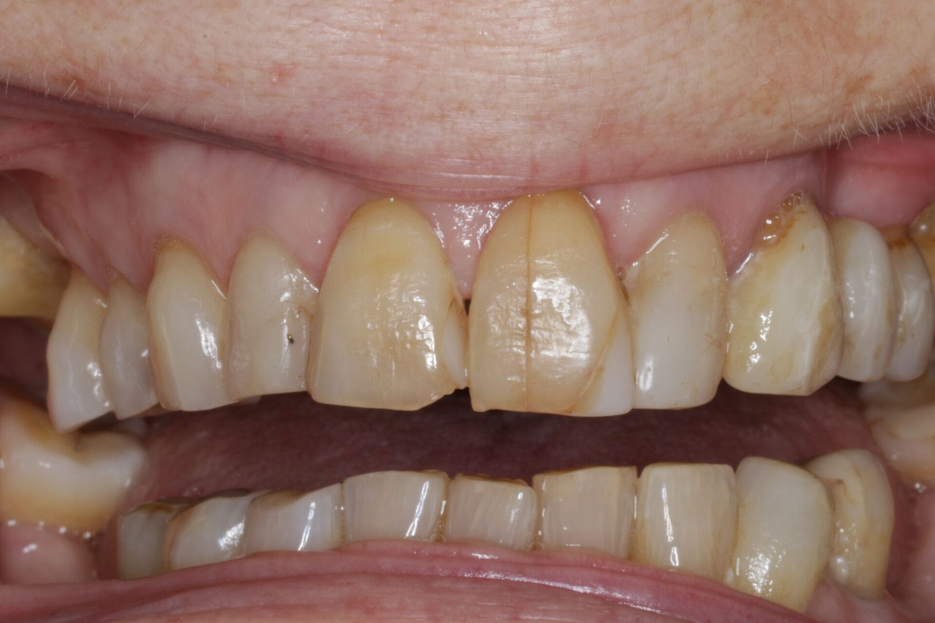
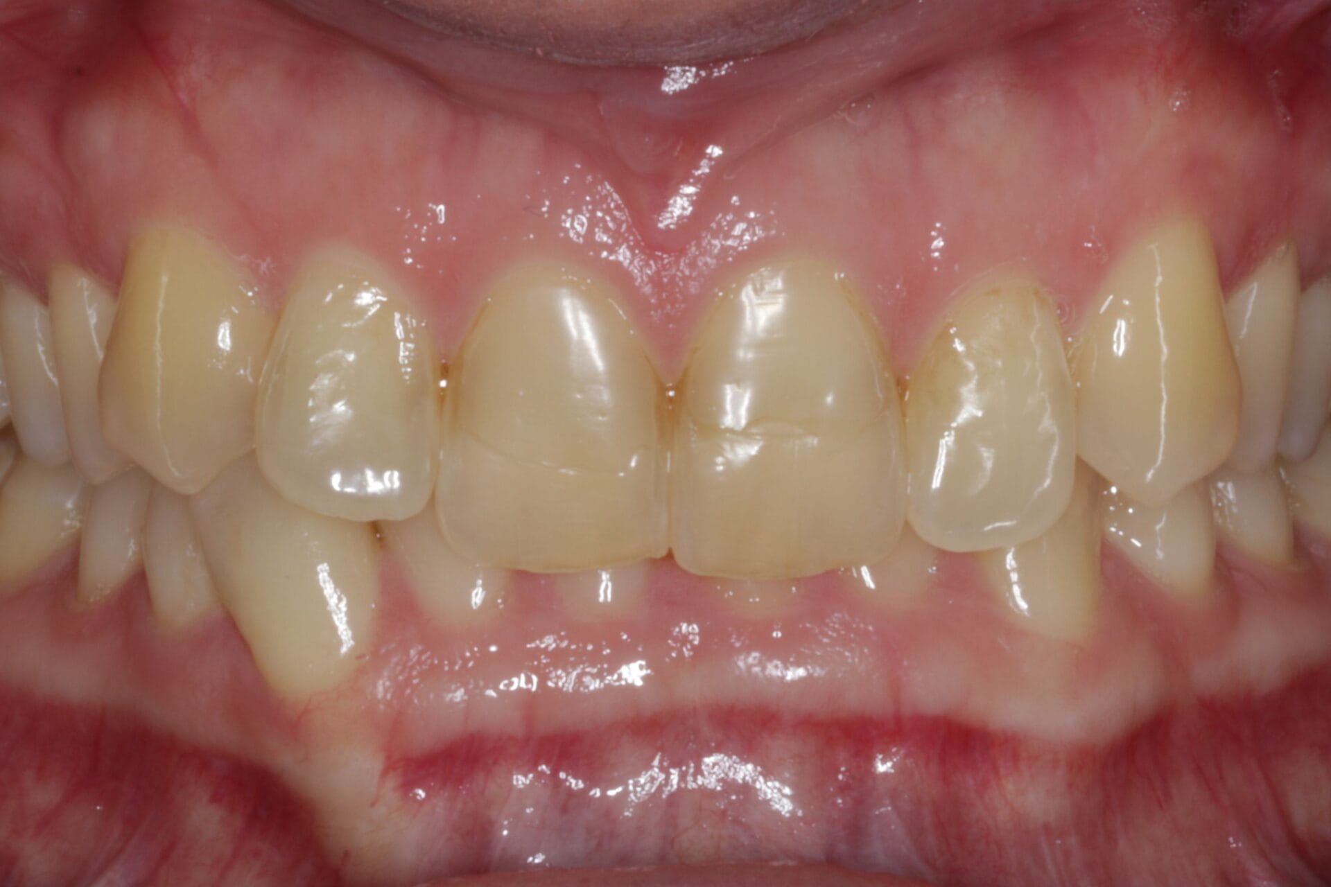
Neljän etuhampaan kerrostusmuovit
Asiakkaalle tehtiin kombinaatiovalkaisu eli vastaanottovalkaisun ja kotivalkaisun yhdistelmä sekä kerrostusmuovit neljään yläetuhampaaseen. Pienillä toimenpiteillä saatiin aikaan suuri muutos asiakkaan hymyyn.
Referenssi
Värjäytyneiden muovipaikkojen uusiminen
Asiakkaalla oli etuhampaiden välissä vanhat värjääntyneet muovipaikat. Uusittiin muovipaikat omien hampaiden väriin ja muotoon sulautuvaksi.
Referenssi
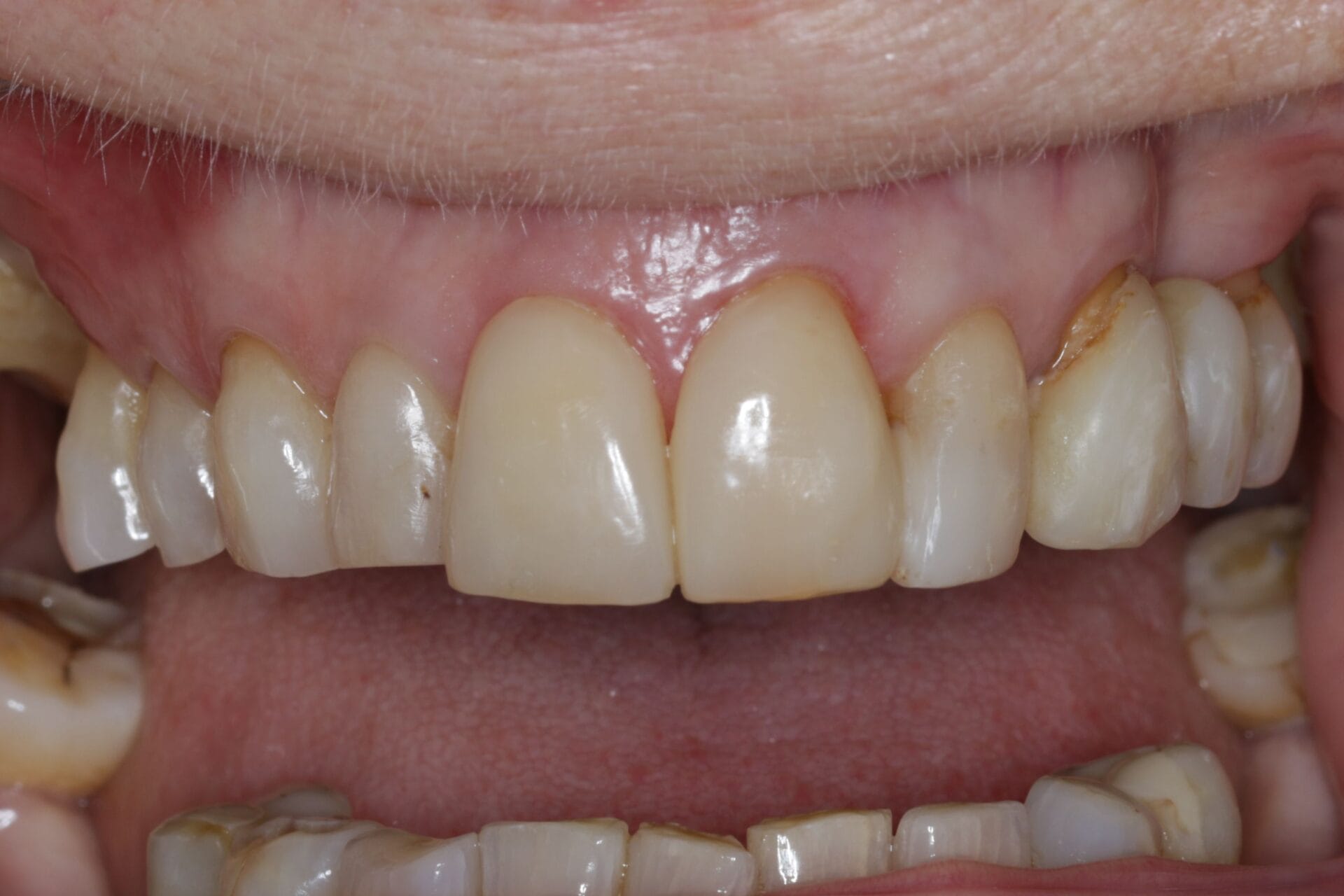
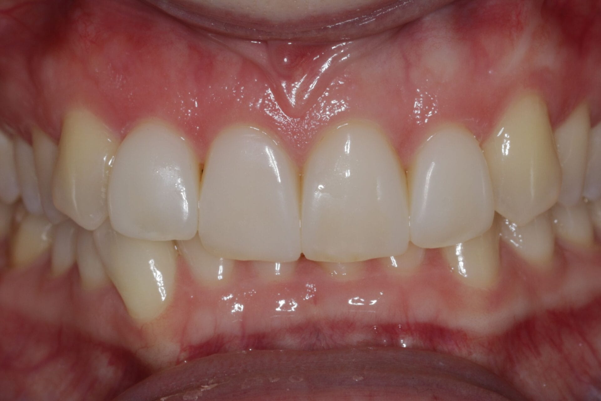
Etuhampaiden kerrostusmuovit
Asiakasta häiritsi kuluneet etuhampaat. Asiakkaalle tehtiin ensin kombinaatiovalkaisu ja lopuksi kerrostusmuovit kahteen etuhampaaseen.
Kustannukset
| Esimerkkihintoja | Hinta |
|---|---|
| Konsultaatio Ensimmäinen konsultaatio on maksuton. Jos käyt konsultaatiossa useamman kerran, seuraavien konsultaatioiden hinta on 110€. | Maksuton |
| Kerrostusmuovilaminaatit Kerrostusmuovilaminaatit / koko hampaan muotoilu kerrostusmuovilla. | n. 400€ / hammas |
| Pienet muotoilut kerrostusmuoveilla Esimerkiksi vanhojen paikkojen vaihtaminen, hammasrakojen sulkeminen & lohkeamien korjaus. | n. 150–350€ per hammas |
| Invisalign-oikomishoidot Kiinteä pakettihinnoittelu. Hinta perustuu hoidon laajuteen. Tutustu hinnastoon täällä. | 2500–7350 € |
| Hammastarkastus *Hinta sisältää kelakorvauksen ja palvelumaksun. Hinta ilman kelakorvausta on 102,90 €. | 72,90 €* |
Tutustu eSmilen hinnastoon täällä.
Ajanvaraus
Voit varata Siirille ajan alla olevalla ajanvarauslomakkeella tai puhelimitse 010 219 8700.
Ohjeita ajanvaraukseen
Voit varata ajan yleisimpiin toimenpiteisiin nettiajanvarauksestamme. Mikäli sopivaa aikaa ei löydy tai et ole varma mikä olisi sinun tilanteeseesi sopiva palvelu tai oikea asiantuntija, voit varata ajan puhelimitse numerosta 010 219 8700 tai voit varata maksuttoman hoitoarviopuhelun täältä.
Ajanvaraukseen vaaditaan henkilötunnus ja tietojen suojauksessa käytetään ssl-varmennetta.
Huomioithan, että vain ensimmäinen konsultaatio on maksuton. Jos käyt konsultaatiossa useamman kerran samasta syystä, seuraavien konsultaatioiden hinta on 110€.
Ajan siirtäminen ja peruuttaminen
Alle kahden tunnin hoitoaika tulee peruuttaa tai siirtää vähintään 24 tuntia ennen varattua aikaa. Vähintään kahden tunnin hoitoaika sekä suu- ja leukakirurgin ajat tulee peruuttaa 72 tuntia ennen hoitoaikaa. Myöhemmin perutusta tai peruuttamattomasta ajasta veloitamme 100 € jokaista alkavaa tuntia kohden, kuitenkin enintään 300 €.
Peruutukset ja siirrot voi tehdä Oma eSmilen kautta, soittamalla 010 219 8700 tai sähköpostitse info@esmile.fi.

