Petteri Viljakainen

Petteri Viljakainen
Hammaslääkäri
eSmile Espoo
”Introducing artistry back in dentistry”
Mielenkiinnon kohteet sekä erikoisosaaminen:
Esteettisen hammashoidon toimenpiteiden koko kirjo, erityisesti noninvasiiviset isommat 8-10 hampaan kerrostusmuovilaminaattityöt sekä Invisalign-oikomishoidot.
Myös:
- Kaikki erilaiset kerrostusmuovilaminaattihoidot
- Keraamiset hammaslaminaatit
- ICON resiini-infiltraatiohoidot
- Puuttuvien hampaiden korvaaminen
- Laajemmat esteettiset työt.
Olen valmistunut hammaslääkäriksi Helsingissä vuonna 2009. Minulla on ollut alusta saakka halu tehdä kestävää ja korkeatasoista esteettistä hammashoitoa. Olen alusta asti tiennyt, että tullakseni hyväksi siinä, pelkästään Suomesta saatava koulutus ei riitä. Tämän vuoksi kouluttaudun aktiivisesti esteettisen hammashoidon menetelmistä sekä käytettävistä materiaaleista ympäri maailmaa. Olen AACD:n eli American Academy of Cosmetic Dentistryn sekä BACD:n eli British Academy of Cosmetic Dentistryn akkredioitu jäsen.
Esteetisen hammashoidon saralla ei ole missään päin maailmaa alan erikoishammaslääkärikoulutusta. Akkreditointi (varsinkin AACD) on sitä lähimpänä.
Hoitofilosofiana minulla on esteettinen hammashoito ns. minimal / non-invasivisella -ajatuksella. Kohtuuton hampaiden poraaminen hyvän esteettisen lopputuloksen saavuttamiseksi ei ole sitä mitä teen.
Lue lisää
Hoidossani haluttuun lopputulokseen voi päästä monella eri tavalla. Valikoimasta löytyvät yhdistelmämuovista sekä keramiasta tehdyt laminaatit, Invisalign-oikomishoito, esteettiset kerrostusmuovit, ICON-kiillelaikkukäsittely sekä implanttiprotetiikka.
Valtaosa hoidoistani on ABB eli align, bleach and bond -hoitoja joissa hampaat ensin oiotaan suoraksi järkevässä ajassa mahdollisimman huomaamattomasti (normaalisti 6-12kk), tämän jälkeen ne valkaistaan ja lopuksi hampaiden kuluneet kärjet viimeistellään esteettisillä kerrostusmuoveilla. Hoito pystytään usein toteuttamaan poraamalla minimaalisesti omaa hammaskudosta. Hoito on näin potilaan kannalta mahdollisimman turvallista.
Joskus hampaissa on isompia vanhoja paikkoja, kulumaa tai värivirheitä, silloin muovien sijasta käytän käsityönä tehtyjä kerrostusmuovi- tai keraamisia laminaatteja lopputuloksen viimeistelyssä. Pyrin seuraamaan myös jokaista tekemääni hoitoa sen valmistuttua useamman vuoden ajan vuosittaisilla tarkastuskäynneillä. Seurannalla ja kontrolleilla varmistetaan että purenta varmasti toimii oikein ja lopputulos on mahdollisimman pitkäkestoinen.
Toimin kansainvälisenä luennoitsijana ja kouluttajana useille eri hammashoidon materiaalien valmistajille isoimpina niistä Ivoclar Vivadent, Ultradent sekä Canon Europe.
Hammaslääkärien kouluttamisen lisäksi kouluttaudun itse aktiivisesti pysyäkseni mukana nopeasti muuttuvassa maailmassa.
Lue lisää verkkosivuiltani petteriviljakainen.com sekä Instagram-profiilistani @dr_petteriviljakainen.
Potilastapauksia
Kerrostusmuovit
Kerrostusmuovista eli yhdistelmämuovista tehtyjen laminaattien huomattava etu on siinä että ne voidaan tehdä täysin ilman hampaiden poraamista. Voisi sanoa että hammasta käytetään kankaana, jonka päälle uusi pinta eri muovisävyillä kaikkine yksityiskohtineen rakennetaan ja ”maalataan”. Jos laminaatit pystytään tekemään ilman omien hampaiden poraamista, niin ne voidaan ne tehdä kenelle tahansa iästä riippumatta.
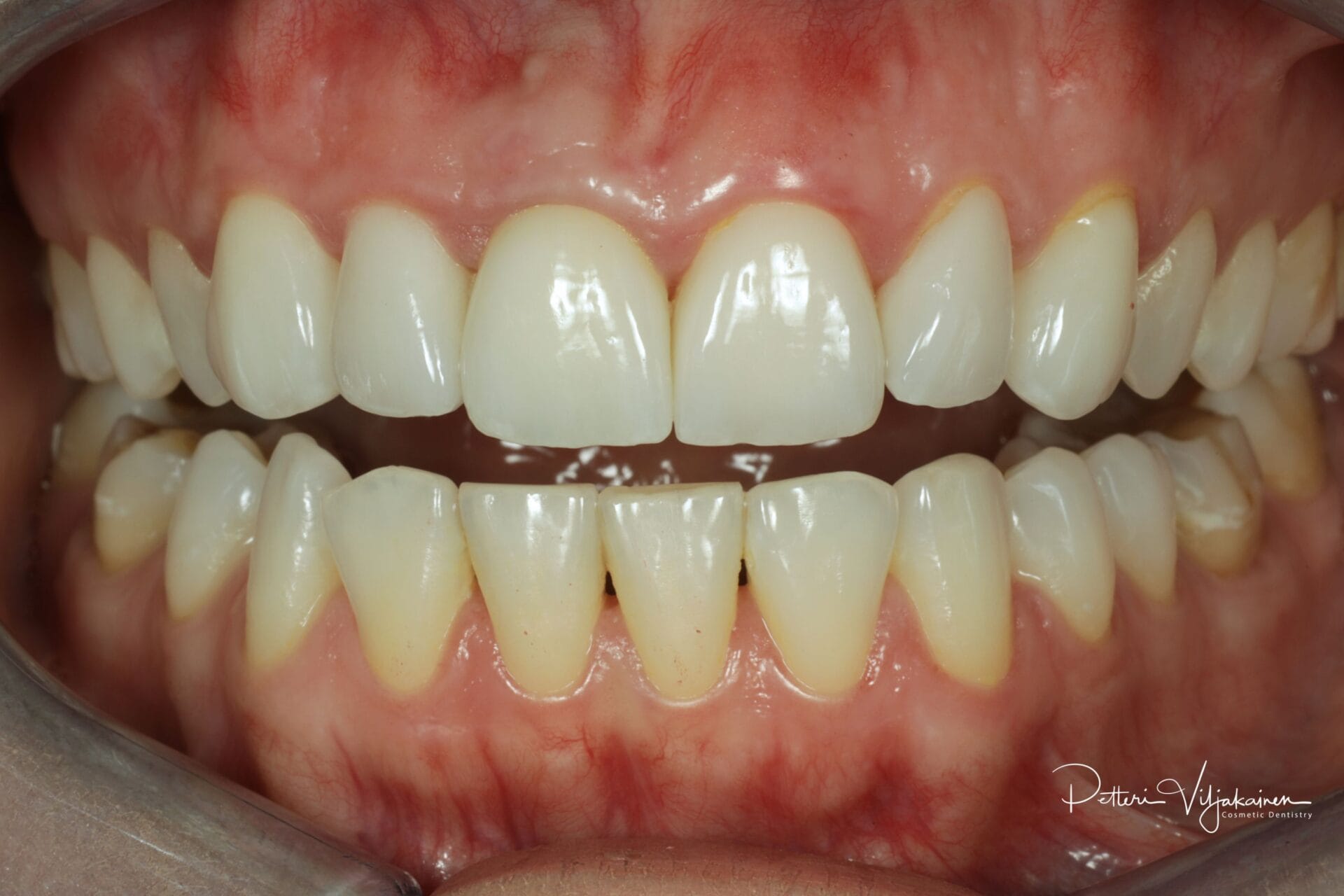
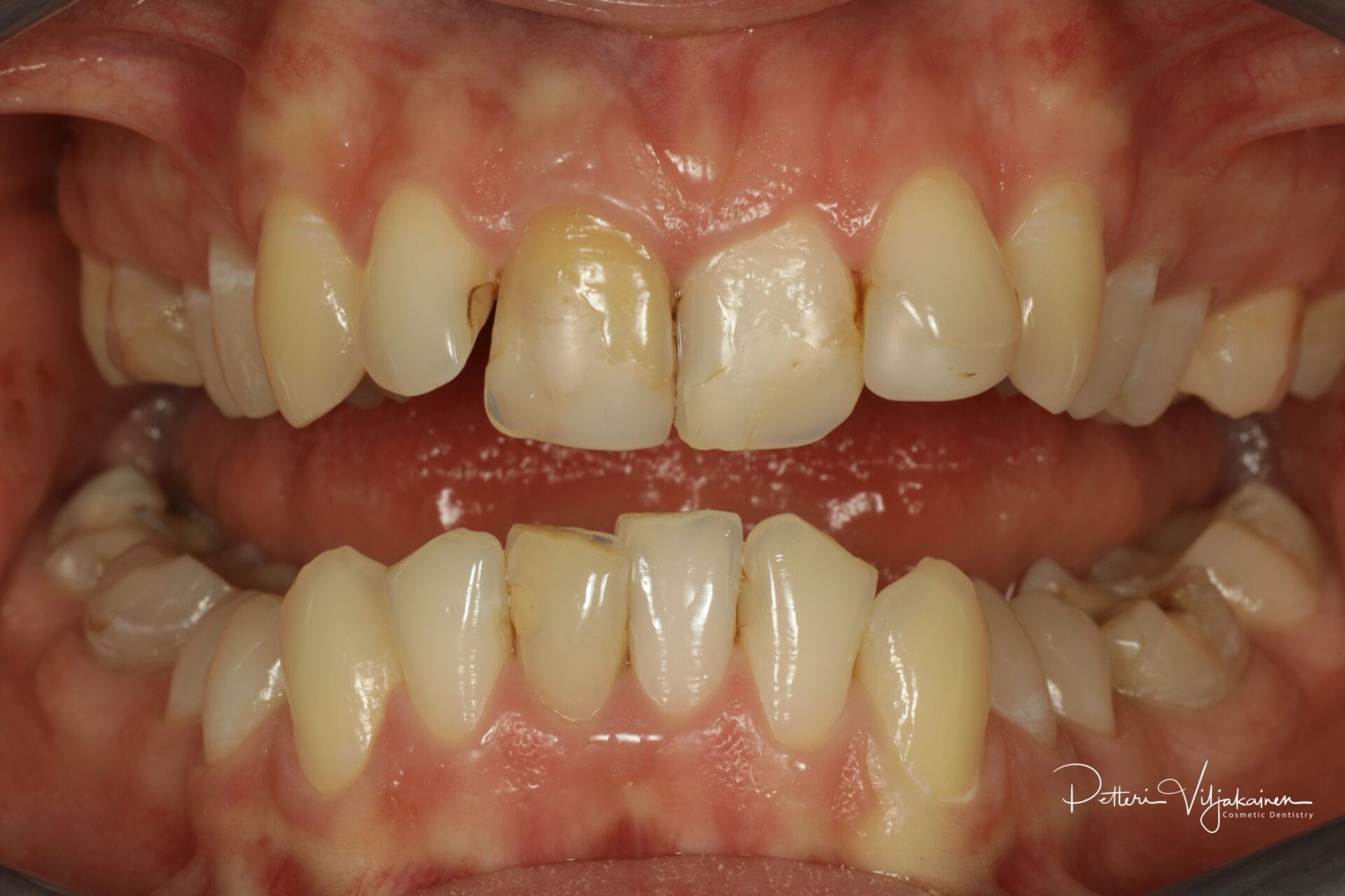
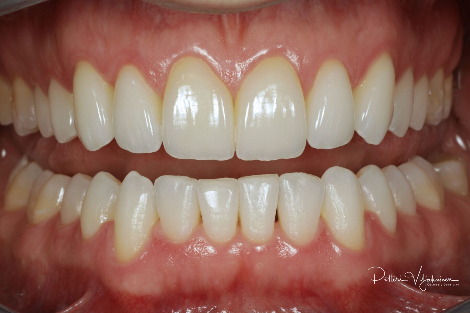
Referenssi 1
Kymmenen kerrostusmuovilaminaattia
Invisalign Lite -oikomishoito viimeisteltiin kymmenellä yhdistelmämuovilaminaatilla. Alahampaisiin tehtiin kahden viikon kotivalkaisulla.
Referenssi 2
Vanhojen laminaattien korvaaminen kerrostusmuovilaminaateilla
Asiakkaalle oli tehty aiemmin toisaalla posliinilaminaatteja, jotka olivat lohkeilleet. Posliinilaminaattien tilalle toteutettiin kerrostusmuovilaminaatit kymmeneen ylähampaaseen.
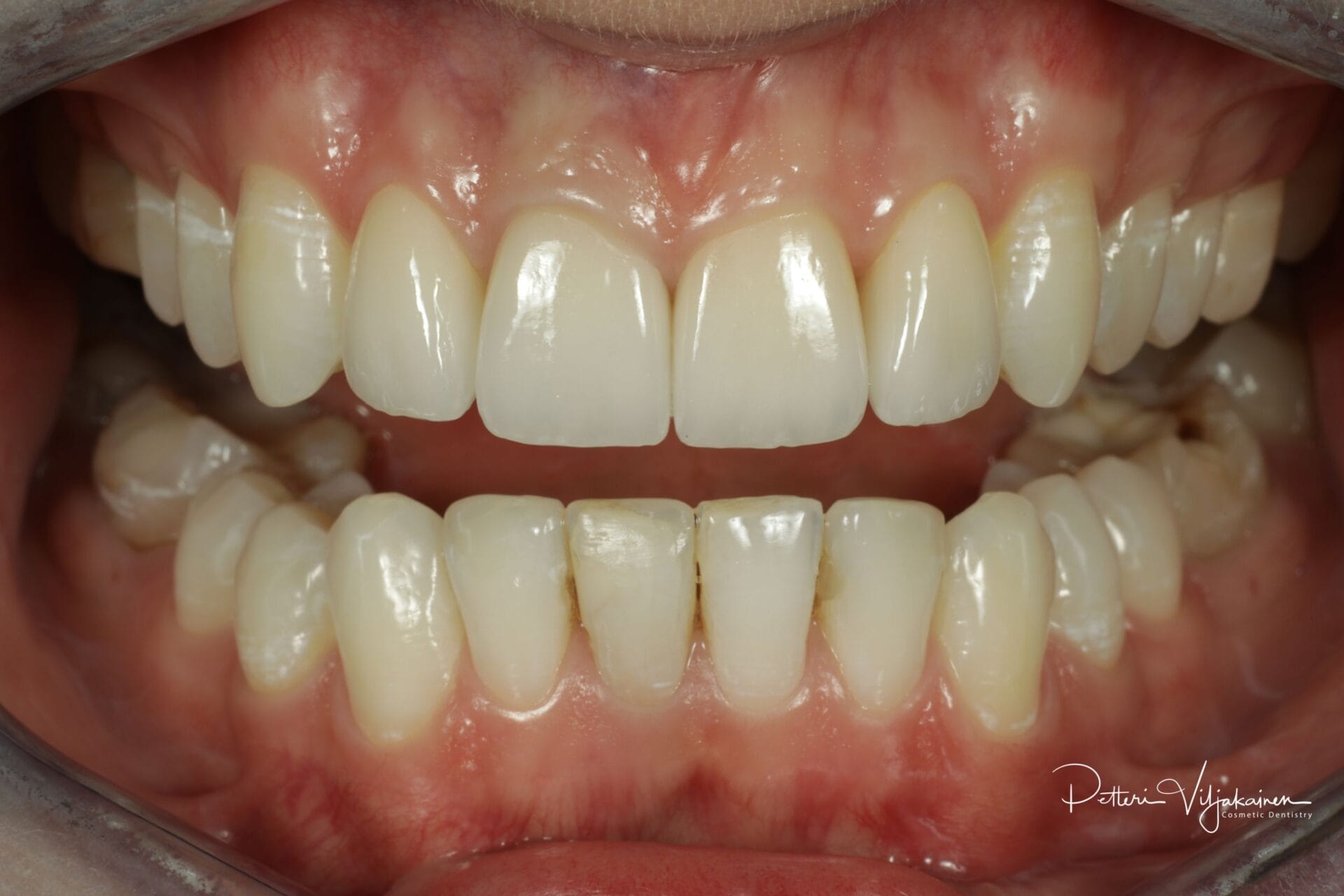
Referenssi 3
Kymmenen kerrostusmuovilaminaattia
Asiakkaalle tehtiin kerrostusmuovilaminaatit kymmeneen ylähampaaseen sekä kahden viikon kotivalkaisu alahampaisiin.
Referenssi 4
Kymmenen kerrostusmuovilaminaattia
Asiakkaalle tehtiin kerrostusmuovilaminaatit kymmeneen ylähampaaseen sekä kahden viikon kotivalkaisu alahampaisiin.
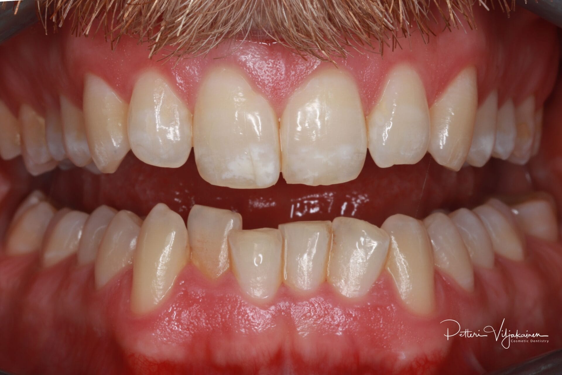
Referenssi 5
Etuhampaan paikan uusiminen
Vanha etuhampaan kärjen muovipaikka uusittiin uudella kerrostusmuovitäytteellä.
Keraamiset hammaslaminaatit
Keraaminen hammaslaminaatti eli posliinikuorikko on hiuksenhieno ja ohut pinnoite, joka kiinnitetään oman hampaan päälle. Vastaanotollamme käytetään etualueiden posliinikuorikkotöissä ainoastaan tarkoin valittujen hammasteknikoiden käsityönä asiakkaalle valmistamia piilolinssin ohuita hammaslaminaatteja.
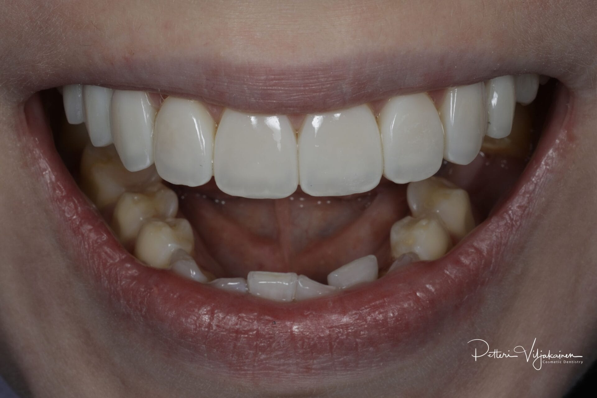
Referenssi 6
Invisalign-oikomishoidon viimeistely keraamisilla laminaateilla
Asiakkaalle tehtiin kahdeksan kuukautta kestänyt Invisalign Lite -oikomishoito, jonka jälkeen hampaat valkaisiin kombinaatiovalkaisulla. Lopuksi muutama vanha muovitäyte hampaiden kärjistä uusittiin ja neljään yläetuhampaaseen tehtiin keraamiset hammaslaminaatit.
Referenssi 7
Neljä keraamista hammaslaminaattia
Asiakkaalle tehtiin keraamiset hammaslaminaatit neljään yläetuhampaaseen.
Referenssi 8
Invisalign-oikomishoidon viimeistely keraamisilla hammaslaminaateilla
Asiakkaalle tehtiin kahdeksan kuukautta kestänyt Invisalign Lite -oikomishoito, jonka jälkeen hampaat valkaisiin kombinaatiovalkaisulla. Lopuksi kymmeneen yläetuhampaaseen tehtiin keraamiset hammaslaminaatit.
Referenssi 9
Yksittäinen etuhampaan laminaatti
Asiakkaalle tehtiin keraaminen hammaslaminaatti toiseen etuhampaaseen.
Hammasimplantti
Implanttihoidoissa tekijöiden osaaminen ja käytettävien materiaalien laatu on ensiarvoisen tärkeää.
eSmilella implanttileikkaukset toteuttaa kokenut suu- ja leukakirurgi Jarno Savolainen ja käytämme huippulaadukkaita sveitsiläisen Straumannin implantteja. Varsinkin etualueella hammaslääkärin esteettisen silmän on oltava tarkka, jotta implanttikruunu ei erotu muista hampaista.
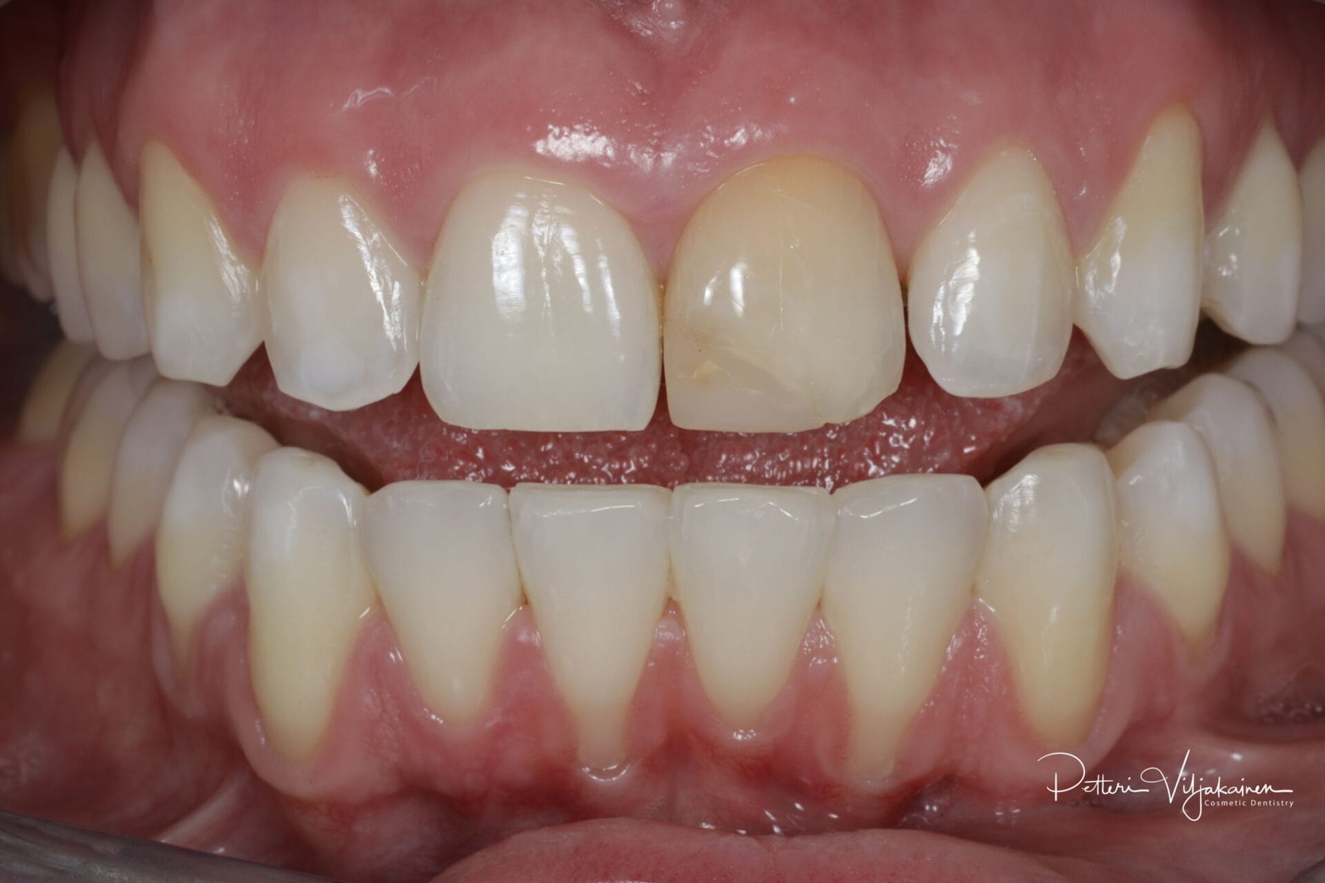
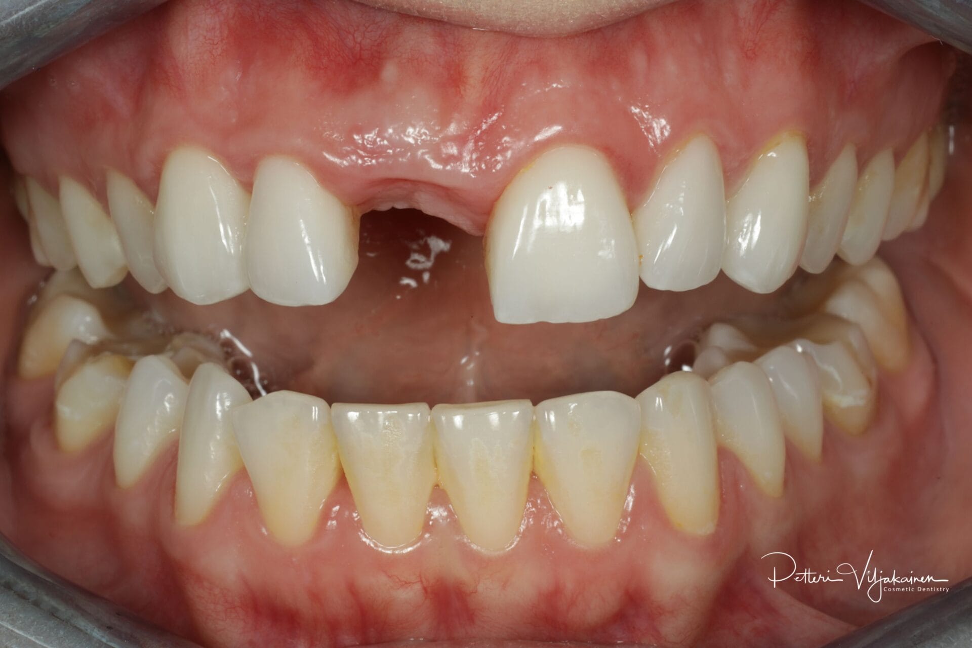
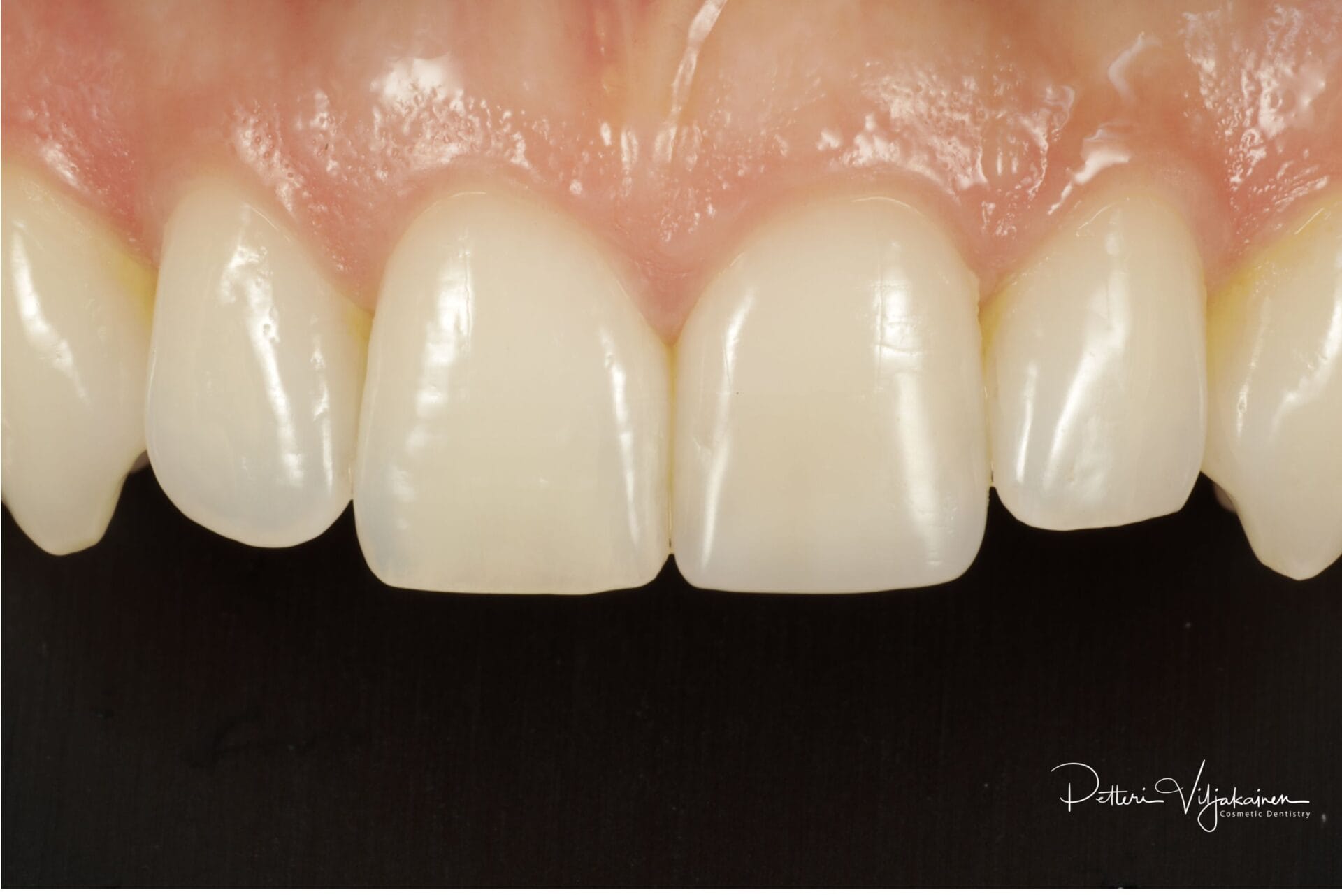
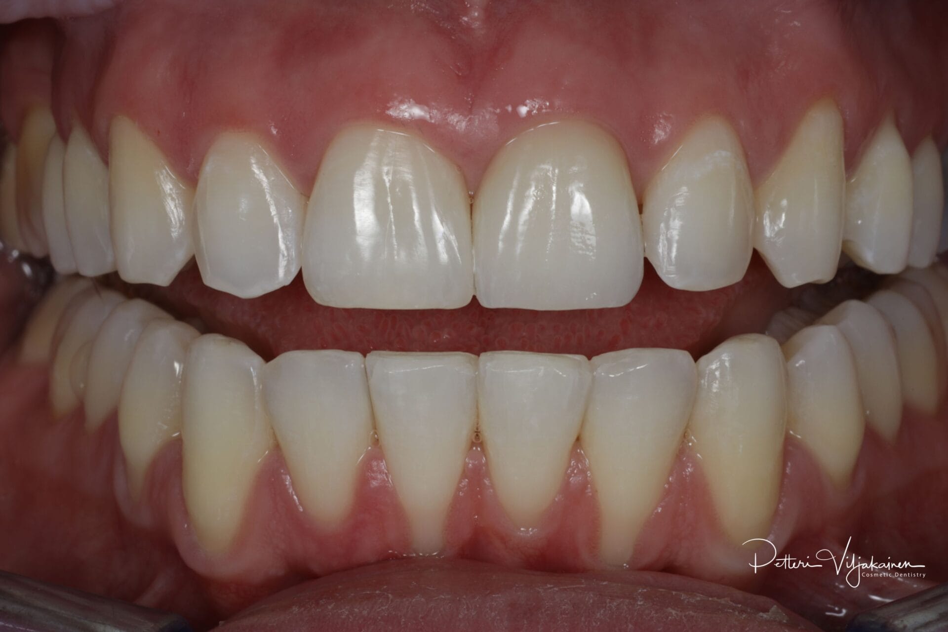
Referenssi 10
Puuttuvan etuhampaan korvaaminen implantilla
Tapaturman seurauksena poistettu yläetuhammas korvattiin hammasimplantilla. Implanttileikkauksen toteutti eSmilen suu- ja leukakirurgi Jarno Savolainen.
Kustannukset
Hoitojen kustannukset riippuvat hoidon laajuudesta ja vaativuudesta. Saat kustannusarvion konsultaatiokäynnillä.
| Esimerkkihintoja | Hinta |
|---|---|
| Konsultaatio Ensimmäinen konsultaatio on maksuton. Jos käyt konsultaatiossa useamman kerran, seuraavien konsultaatioiden hinta on 110€. | Maksuton |
| Kerrostusmuovilaminaatit, 8 hammasta Pakettihinta kahdeksalle kerrostusmuovilaminaatille, suojaavalle yökalvolle sekä alahampaiden kotivalkaisulle. Lue lisää tästä. | 7000 € |
| Kerrostusmuovilaminaatit, 10 hammasta Pakettihinta kahdeksalle kerrostusmuovilaminaatille, suojaavalle yökalvolle sekä alahampaiden kotivalkaisulle. Lue lisää tästä. | 8000 € |
| Pienet muotoilut kerrostusmuoveilla | n. 200–350€ per hammas |
| Keraamiset hammaslaminaatit Hammasteknikkona Aki Lindén. | n. 1200€ / hammas |
| Invisalign-oikomishoidot Kiinteä pakettihinnoittelu. Hinta perustuu hoidon laajuteen. Tutustu hinnastoon täällä. | 2500–7350 € |
Tutustu eSmilen hinnastoon täällä.
Ajanvaraus
Voit varata Petterille ajan alla olevalla ajanvarauslomakkeella tai puhelimitse 010 219 8700.
Ohjeita ajanvaraukseen
Voit varata ajan yleisimpiin toimenpiteisiin nettiajanvarauksestamme. Mikäli sopivaa aikaa ei löydy tai et ole varma mikä olisi sinun tilanteeseesi sopiva palvelu tai oikea asiantuntija, voit varata ajan puhelimitse numerosta 010 219 8700 tai voit varata maksuttoman hoitoarviopuhelun täältä.
Ajanvaraukseen vaaditaan henkilötunnus ja tietojen suojauksessa käytetään ssl-varmennetta.
Huomioithan, että vain ensimmäinen konsultaatio on maksuton. Jos käyt konsultaatiossa useamman kerran samasta syystä, seuraavien konsultaatioiden hinta on 110€.
Ajan siirtäminen ja peruuttaminen
Alle kahden tunnin hoitoaika tulee peruuttaa tai siirtää vähintään 24 tuntia ennen varattua aikaa. Vähintään kahden tunnin hoitoaika sekä suu- ja leukakirurgin ajat tulee peruuttaa 72 tuntia ennen hoitoaikaa. Myöhemmin perutusta tai peruuttamattomasta ajasta veloitamme 100 € jokaista alkavaa tuntia kohden, kuitenkin enintään 300 €.
Peruutukset ja siirrot voi tehdä Oma eSmilen kautta, soittamalla 010 219 8700 tai sähköpostitse info@esmile.fi.

