Mikko Gustafsson

Mikko Gustafsson
Hammaslääkäri
eSmile Helsinki & Espoo
Intohimoni hammashoidossa on saada kestävä ja esteettinen lopputulos, joka tuntuu ja näyttää luonnolliselta. Jokaisella on mielestäni olemassa optimaalinen hymy, joka joskus voi löytyä pelkällä valkaisulla, vanhoja paikkoja viimeistelemällä tai hampaiden asennon korjauksella. Toisinaan tarvitaan näiden kaikkien kombinaatiota. Toimintatapoja on monia ja sopivin valitaan aina asiakkaan kanssa yhdessä ennen hoitoa.
Valmistuin hammaslääkäriksi vuonna 2015. Olen päässyt työskentelemään paljon ulkomailla ja tämän ansiosta tutustunut erilaisiin hoitomuotoihin ja -keinoihin, joista monet ovat Suomeen vasta rantautumassa.
Lue lisää
Perushammashoidon lisäksi pidän erityisesti proteettisesta hoidosta, jossa paljon kärsineen hampaan kokonaisuus palautetaan keraamisin kruunuin tai osakruunuin. Tämä on kestävä, esteettinen ja laadukas ratkaisu varsinkin molaareille (poskihampaille), missä purentavoimat ovat suurimmillaan.
Hoitoperiaatteenani on laadukas ja kestävä lopputulos mahdollisimman vähäisellä porauksella. Tällä tavalla säästetään hampaan kudosta maksimaalisesti ja hoito pysyy turvallisena. Olen ”American Academy of Cosmetic Dentistry” jäsen ja olen suorittamassa akatemialle akkreditointiprosessia. Lisäksi päivitän tietoa ja osaamistani osallistuen jatkokoulutuksiin ja kongresseihin ympäri maailman.
Vastaanotollani pidän asiakkaan aina tietoisena siitä, mitä seuraavaksi tehdään, jolloin yhteistyö sujuu vaivatta ja työskentely pysyy miellyttävänä.
Erityisosaaminen
- Kerrostusmuovit
- Laajat jopa yli kymmenen hampaan kerrostusmuovihoidot
- Diasteeman sulku, tappikakkoset, mustat kolmiot, abraasiovauriot, lohkeamat, oikomishoidon viimeistelyt
- Invisalign-oikomishoidot (myös laajat comprehensive-hoidot)
- Keraamiset hammaslaminaatit
- Botuliinihoidot (bruksismi & yläkasvojen esteettiset hoidot)
- Laajat esteettistä silmää vaativat hoitokokonaisuudet
Työskentelen sujuvasti suomeksi, englanniksi ja venäjäksi.
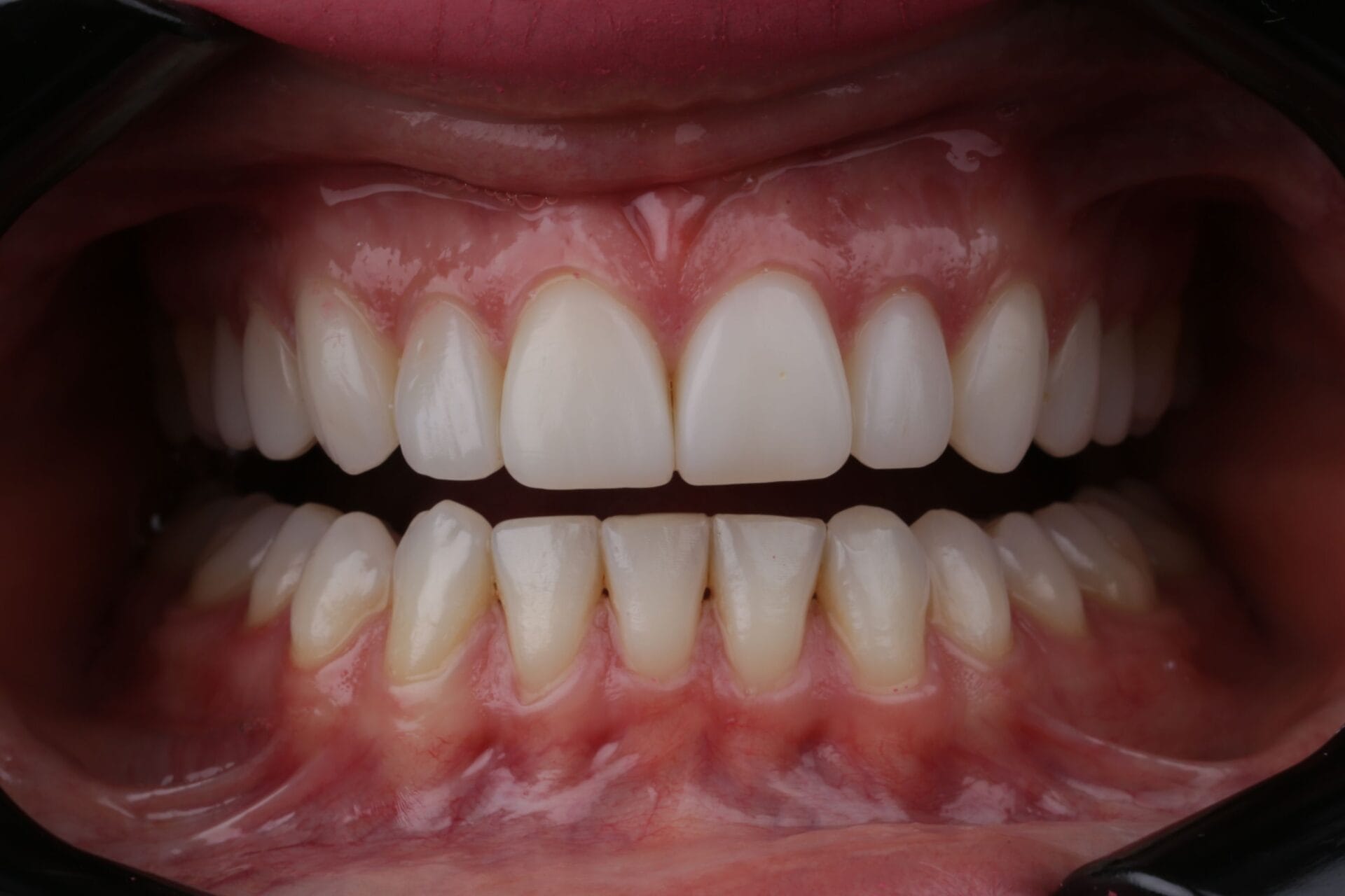
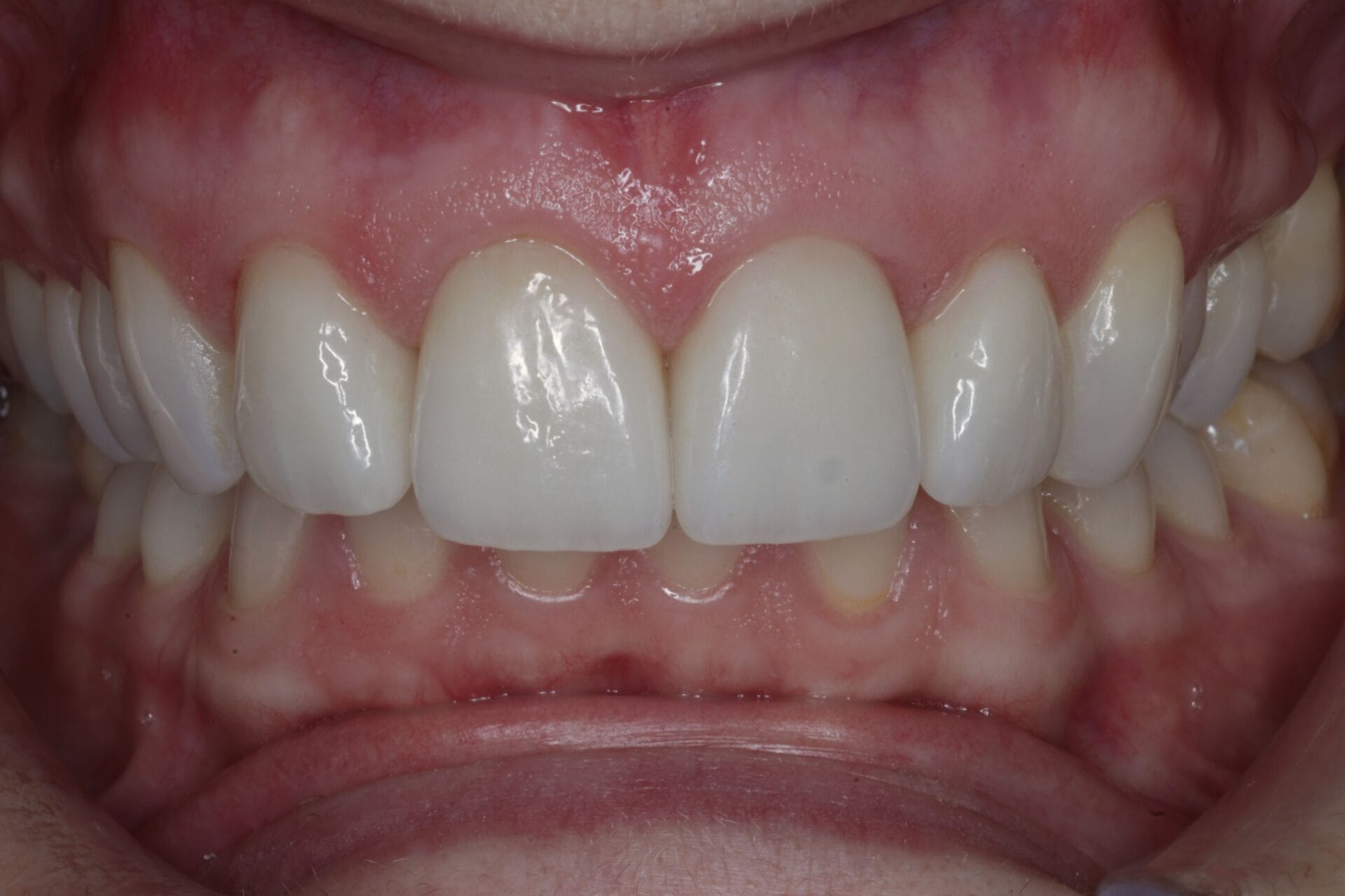
Potilastapauksia
Kerrostusmuovilaminaatit
Referenssi 1
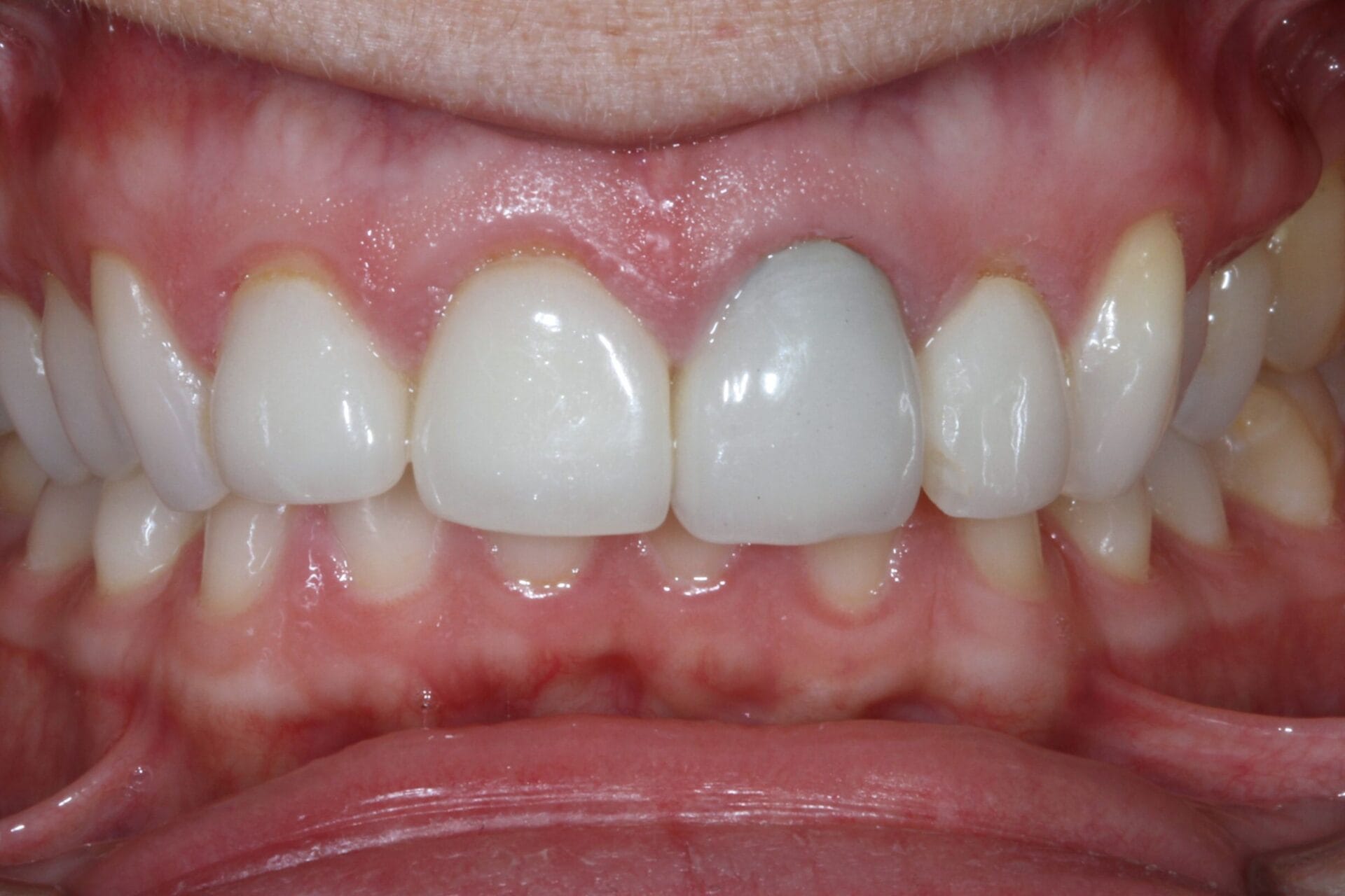
Oikomishoidon viimeistely kerrostusmuovilaminaateilla
Asiakkaalle tehtiin Invisalign-oikomishoito ja lopputulos viimeisteltiin kombinaatiovalkaisulla ja kerrostusmuoveilla kuuteen yläetualueen hampaaseen.
Kerrostusmuovit tehtiin vapaan käden tekniikalla.
Ennen-kuva on otettu oikomishoidon jälkeen.
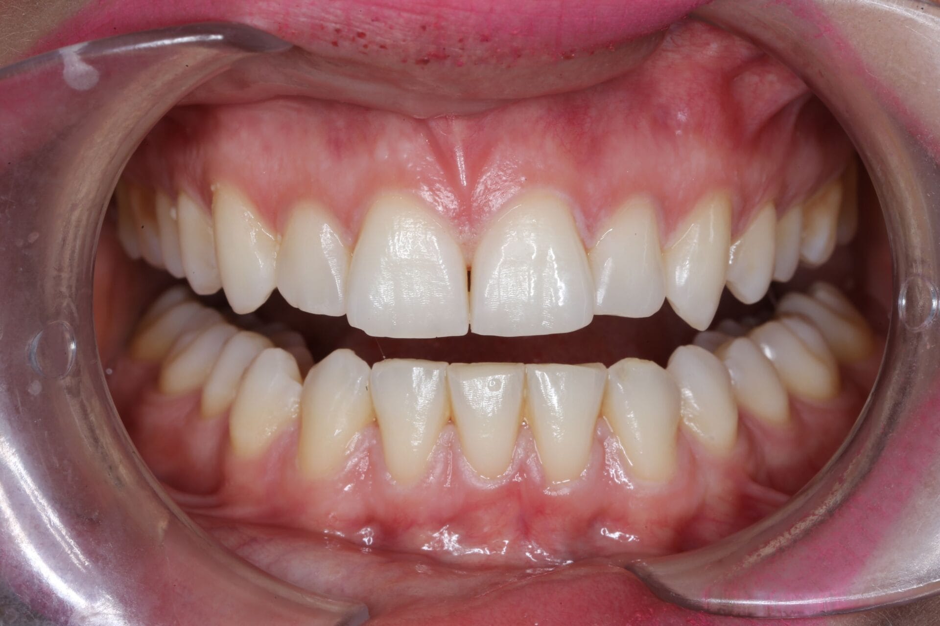
Referenssi 2
Upean hymyn rakentaminen kerrostusmuovilaminaateilla
Asiakas toivoi merkittävää esteettistä parannusta hampaistoon. Hoitomuodoksi valittiin kerrostusmuovilaminaatit.
Kerrostusmuovit tehtiin vapaan käden tekniikalla.
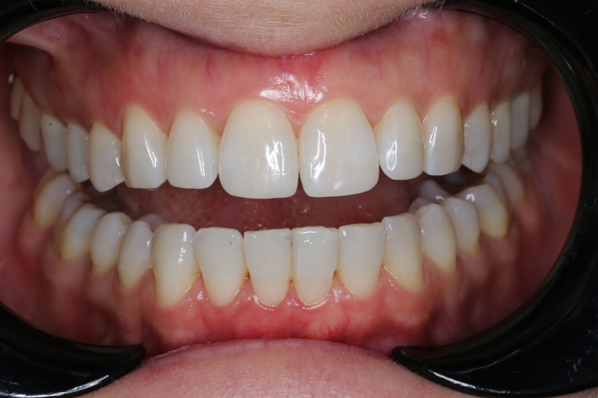
Referenssi 3
Uusi hymy kerrostusmuovilaminaateilla
Asiakasta häiritsi hampaiden pieni koko sekä väri ja hän halusi lisää volyymiä ja näyttävyyttä hymyynsä.
Asiakkaalle tehtiin hammaskiven poisto, kotivalkaisu ja kerrostusmuovilaminaatit kymmeneen ylähampaaseen.
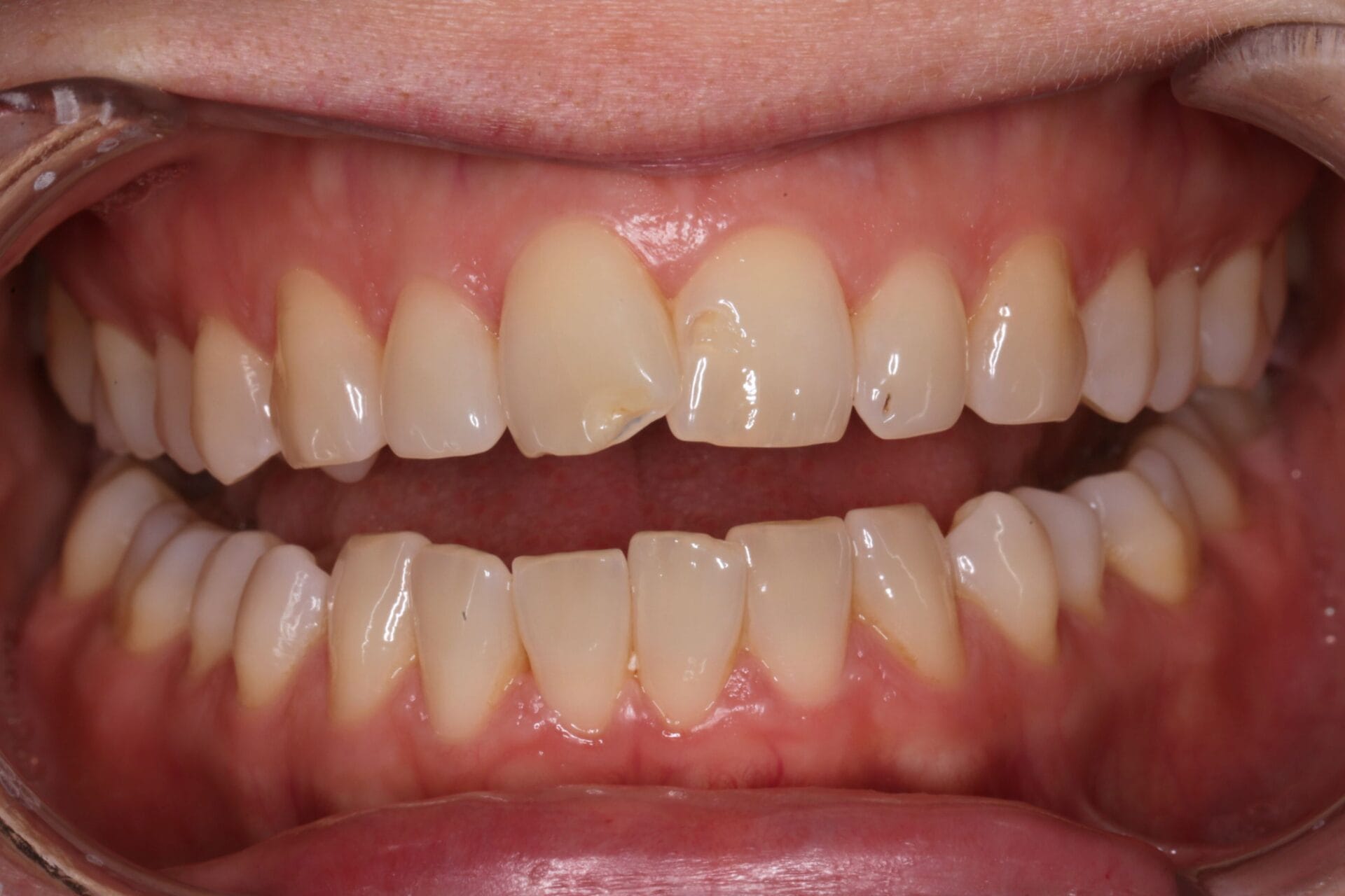
Referenssi 4
Kerrostusmuovilaminaatit neljääntoista hampaaseen
Asiakkaalle tehtiin kerrostusmuovilaminaatit kymmeneen ylähampaaseen sekä neljään alahampaaseen.
Pienet muotoilut kerrostusmuoveilla
Pienelläkin muotoilulla voidaan saada aikaan suuri muutos.
Referenssi 5
Värivirheen korjaaminen kerrostusmuovilla
Nuorella asiakkaalla oli hampaassa synnynnäinen värivirhe. Peitettiin värivirhe esteettisellä kerrostusmuovilla.
Referenssi 6
Tappikakkosten esteettinen korjaus
Asiakkaalla oli synnynnäisesti pienikokoiset kakkoshampaat eli ns. ”tappikakkoset”. Rakennettiin kakkoshampaille kokoa ja muotoa kerrostusmuovilla.
Referenssi 7
Tappikakkosten esteettinen korjaus
Asiakkaalla oli synnynnäisesti pienikokoiset kakkoshampaat. Rakennettiin kakkoshampaille kokoa ja muotoa kerrostusmuovilla.
Keraamiset hammaslaminaatit ja kruunut
Keraaminen hammaslaminaatti eli posliinikuorikko on hiuksenhieno ja ohut pinnoite, joka kiinnitetään oman hampaan päälle. Vastaanotollamme käytetään etualueiden posliinikuorikkotöissä ainoastaan tarkoin valittujen hammasteknikoiden käsityönä asiakkaalle valmistamia piilolinssin ohuita hammaslaminaatteja.
Referenssi 8
Vanhojen kruunujen uusiminen
Asiakkalla oli neljässä yläetuhampaassa toisella vastaanotolla aikaisemmin tehdyt keraamiset kruunut. Kruunut uusittiin.
Invisalign-oikomishoidot
Teen myös kaikista vaativimpia Invisalign Comprehensive -oikomishoitoja. eSmilen hammaslääkäreillä on yhteensä lähes 3000 Invisalign-hoidon kokemus ja teemme noin 400 oikomishoitoa vuodessa.
Referenssi 9
Invisalign-oikomishoito
Asiakkaalle tehtiin Invisalign Lite -oikomishoito ja hoito viimeisteltiin kotivalkaisulla sekä pienillä yläetualueen kerrostusmuoveilla.
Kustannukset
Hoitojen kustannukset riippuvat hoidon laajuudesta ja vaativuudesta. Saat kustannusarvion konsultaatiokäynnillä.
| Esimerkkihintoja | Hinta |
|---|---|
| Konsultaatio Ensimmäinen konsultaatio on maksuton. Jos käyt konsultaatiossa useamman kerran, seuraavien konsultaatioiden hinta on 110€. | Maksuton |
| Kerrostusmuovilaminaatit Tyypillisesti suuri muutos saadaan aikaan 6–10 ylähampaan muovilaminaateilla. | n. 500–550€ / hammas |
| Pienet muotoilut kerrostusmuoveilla | n. 200–350€ per hammas |
| Keraamiset hammaslaminaatit | n. 1200€ / hammas |
| Invisalign-oikomishoidot Kiinteä pakettihinnoittelu. Hinta perustuu hoidon laajuteen. Tutustu hinnastoon täällä. | 2500–7350 € |
Tutustu eSmilen hinnastoon täällä.
Ajanvaraus
Voit varata Mikolle ajan alla olevalla ajanvarauslomakkeella tai puhelimitse 010 219 8700.
Ohjeita ajanvaraukseen
Voit varata ajan yleisimpiin toimenpiteisiin nettiajanvarauksestamme. Mikäli sopivaa aikaa ei löydy tai et ole varma mikä olisi sinun tilanteeseesi sopiva palvelu tai oikea asiantuntija, voit varata ajan puhelimitse numerosta 010 219 8700 tai voit varata maksuttoman hoitoarviopuhelun täältä.
Ajanvaraukseen vaaditaan henkilötunnus ja tietojen suojauksessa käytetään ssl-varmennetta.
Huomioithan, että vain ensimmäinen konsultaatio on maksuton. Jos käyt konsultaatiossa useamman kerran, seuraavien konsultaatioiden hinta on 110€.
Ajan siirtäminen ja peruuttaminen
Alle kahden tunnin hoitoaika tulee peruuttaa tai siirtää vähintään 24 tuntia ennen varattua aikaa. Vähintään kahden tunnin hoitoaika sekä suu- ja leukakirurgin ajat tulee peruuttaa 72 tuntia ennen hoitoaikaa. Myöhemmin perutusta tai peruuttamattomasta ajasta veloitamme 100 € jokaista alkavaa tuntia kohden, kuitenkin enintään 300 €.
Peruutukset ja siirrot voi tehdä Oma eSmilen kautta, soittamalla 010 219 8700 tai sähköpostitse info@esmile.fi.

