Lauri Lähteenkorva
Olen Lauri Lähteenkorva ja toimin hammaslääkärinä eSmilen Helsingin ja Espoon vastaanotoilla.
Tavoitteenani on tehdä biomimeettistä estetiikkaa eli hampaistossa tehtäviä korjauksia, joita ei pysty erottamaan aidosta hampaistosta. Näissä hoidoissa korostuu hyvä suunnittelu, oikeat hampaan luonnollisia kudoksia muistuttavat materiaalivalinnat ja itse toimenpiteen oikeanlainen toteutus suurella tarkkuudella.
Hampaiston esteettisissä hoidossa tyypillisiä toimenpiteitä ovat kalvo-oikominen, jossa hampaiden asentoa korjataan, hampaiden valkaisut ja erilaiset korjaavat hoidot, kuten kerrostusmuovit ja keraamiset kuorikot eli hammaslaminaatit. Korjaavalla hoidolla voidaan muuttaa hampaiden muotoa tai palauttaa ajan myötä kulunutta hammaskudosta.
Olen aktiivisesti etsimässä potilastapauksia, jossa esteettinen hoito toteutetaan poikkeuksellisen hyvin. Teen parhaillaan American Academy of Cosmetic Dentistrylle (AACD) akkreditointia, jota pidetään maailmanlaajuisesti merkittävänä esteettisen hammashoidon osaamisen tunnustuksena.
Lue lisää
Minulle on tärkeää, että hammaslääkärissä käynti tuntuu mahdollisimman helpolta ja mukavalta. Oman hymyn ongelmat on monelle arka aihe. Vastaanotolla kuuntelen aina ensin sinun toiveesi ja huolesi, ja suunnittelemme hoidon sen mukaan. Haluan, että jokainen käynti on rauhallinen ja turvallinen hetki, ilman turhaa jännitystä. Hoidossa yhdistyvät huolellisuus, esteettisyys ja toimivuus, mutta ennen kaikkea yksilöllinen kohtaaminen kanssasi.
Olen valmistunut Helsingin yliopistosta hammaslääketieteen lisensiaatiksi vuonna 2016. Teen hoitosuunnitelmat ja toimenpiteet pohjautuen näyttöön perustuvalla tiedolla ja pidän yllä modernia hammaslääketieteellistä osaamista ja tietotaitoa jatkokoulutuksilla.
Tavoitteenani on tehdä biomimeettistä estetiikkaa eli hampaistossa tehtäviä korjauksia, joita ei pysty erottamaan aidosta hampaistosta. Näissä hoidoissa korostuu hyvä suunnittelu, oikeat hampaan luonnollisia kudoksia muistuttavat materiaalivalinnat ja itse toimenpiteen oikeanlainen toteutus suurella tarkkuudella. Teemaan sopien Invisalign kalvo-oikomismenetelmällä pystytään toteuttamaan oikomishoito hyvinkin huomaamattomasti läpinäkyvillä hampaiden päälle laitettavilla kalvoilla.
Hampaiston ehostaminen esteettiseksi lähtee liikkeelle huolellisesta tutkimuksesta, suunnittelusta ja kommunikoinnista, minkä haluan tehdä perusteellisesti.
Olen aktiivisesti etsimässä potilastapauksia, jossa esteettinen hoito toteutetaan poikkeuksellisen hyvin. Teen parhaillaan American Academy of Cosmetic Dentistrylle (AACD) akkreditointia, jota pidetään maailmanlaajuisesti merkittävänä esteettisen hammashoidon osaamisen tunnustuksena.
Nykymenetelmillä hymyn lopputulosta pystytään mallintamaan kätevästi virtuaalisesti kasvokuvilla ja väliaikaisilla materiaaleilla suussa. Siten tiedetään tarkasti, mihin ollaan menossa sekä estetiikan että purennan suhteen ja näin vältytään yllätyksiltä.
Hampaiston esteettisissä hoidossa tyypillisiä toimenpiteitä ovat kalvo-oikominen, jossa hampaiden asentoa korjataan, hampaiden valkaisut ja erilaiset korjaavat hoidot, kuten kerrostusmuovit ja keraamiset kuorikot eli hammaslaminaatit. Korjaavalla hoidolla voidaan muuttaa hampaiden muotoa tai palauttaa ajan myötä kulunutta hammaskudosta.
Kiinnitän erityistä huomiota estetiikan lisäksi purentafunktion toimivuuteen. Hampaiston kuluminen on yleistynyt ja sen tunnistaminen ajoissa sekä kulumisen ennaltaehkäisy on olennaista hymyn ylläpidossa.
Mini-invasiivissa korjaavassa hoidossa pyritään välttämään hampaan hiomista korjaavaa hoitoa varten. Eli käytännössä esimerkiksi, jos halutaan laittaa keraamisia kuorikoita, niin hampaat tulee olla riittävän suorassa leuan ja huulten suhteen.
Toisin sanoen poraamalla en halua oikoa hampaitasi suoraksi, sillä nykymenetelmillä voidaan tehdä monia korjauksia, jopa täysin ilman poraamista. Tämä korostuu erityisesti kerrostusmuovilla tehtävissä korjauksissa.
Jossain tapauksissa hoito voi olla hyvinkin nopeasti toteuttavissa, esimerkiksi hammasvälin raon sulku tai epäesteettisen muovitäytteen vaihto huomaamattomaan kerrostusmuoveihin.
Olipa kyse hampaiden sävystä, puuttuvasta hampaasta, kulumisesta tai hampaiden asennon ja muodon korjaamisesta, konsultaatioajan varaamalla voidaan laatia sinulle yksilöllinen hoitosuunnitelma upean hymyn saavuttamiseksi.
Tavoitteenani on tehdä mahdollisimman laadukasta ja viimeisteltyä hoitoa, jota toivoisin itse saavani.
Tervetuloa vastaanotolleni!
Erityisosaaminen
- Keraamiset hammaslaminaatit
- Kerrostusmuovit
- Invisalign-oikomishoidot (myös laajat comprehensive-hoidot)
- Puuttuvan hampaan korvaaminen
- Laajat esteettiset hoitokokonaisuudet

Lauri Lähteenkorva
Hammaslääkäri
eSmile Helsinki & Espoo
Potilastapauksia
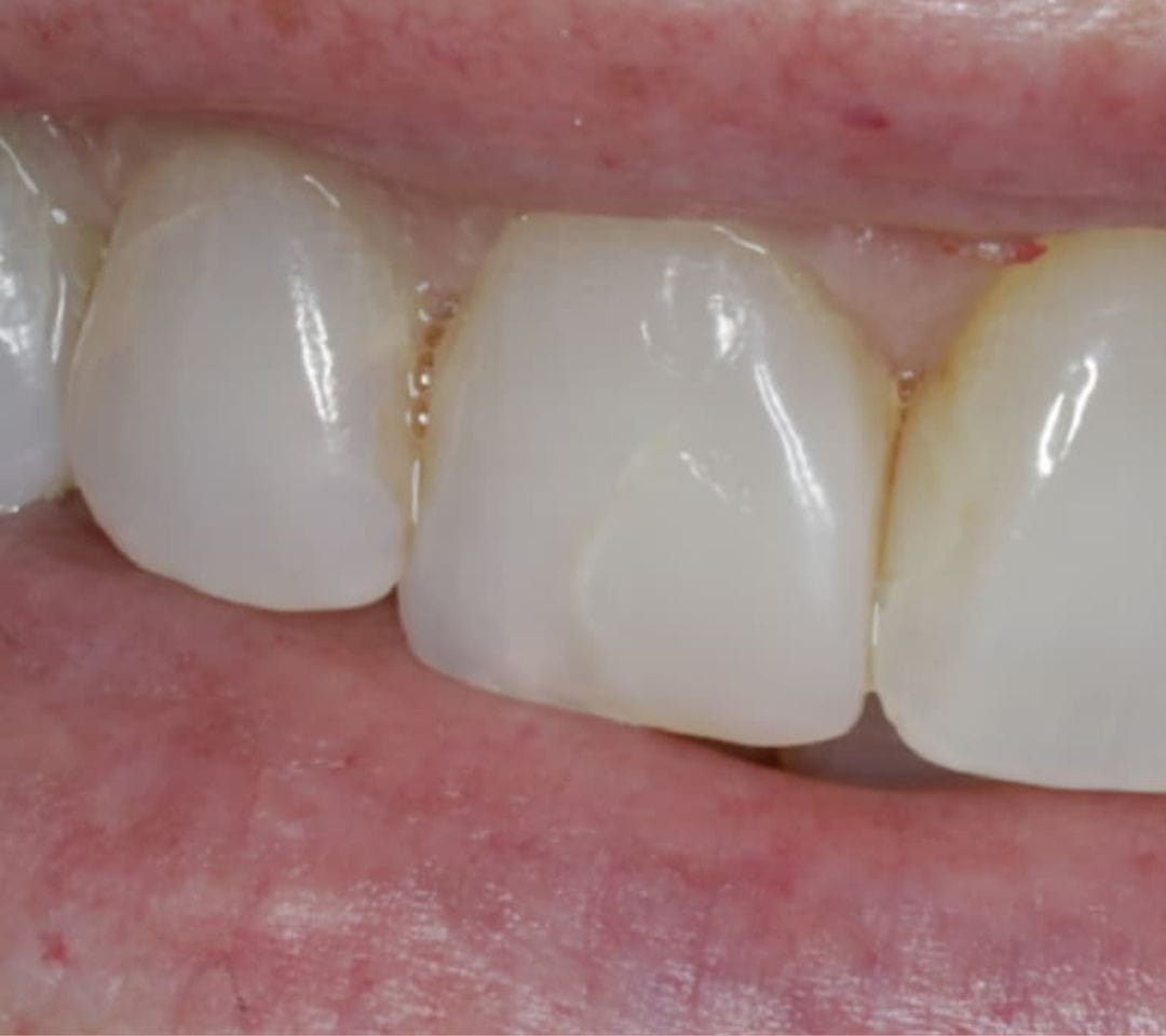
Referenssi 1
Neljän etuhampaan keraamiset laminaatit / kruunut
Asiakkaalle tehtiin neljään yläetuhampaaseen keraamiset laminaatit / kruunut.
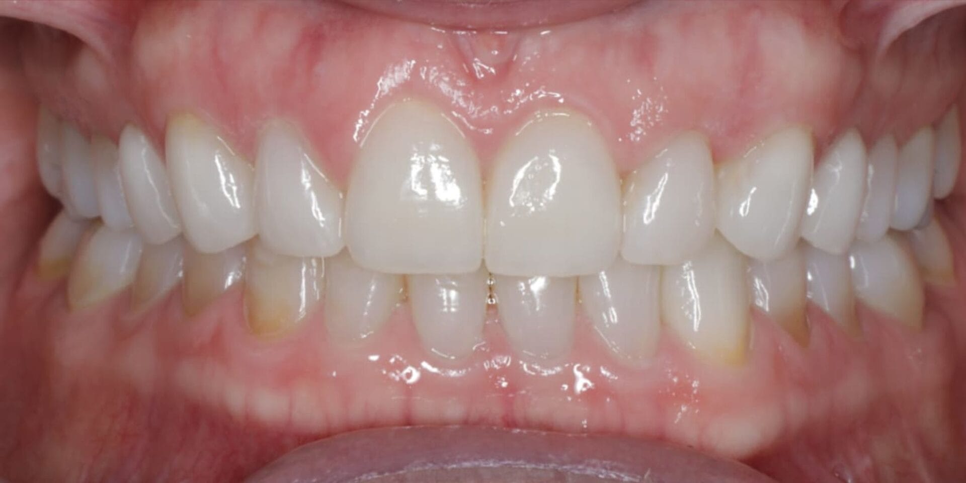
Referenssi 2
Purennan korotus ja kahdeksan keraamista laminaattia
Asiakkalle tehtiin purennan korotus ja kahdeksan keraamista hammaslaminaattia ylähampaisiin. Ennen laminaatteja tehtiin hampaiden valkaisu.
Referenssi 3
Kakkoshampaiden kerrostusmuovit
Asiakkaan kakkoshampaat olivat synnynnäisesti hieman pienikokoiset, joka johti etuhampaiden korostumiseen. Asiakkaalle tehtiin kerrostusmuovit kakkoshampaisiin ja näin saatiin yläetualue symmetriseksi.
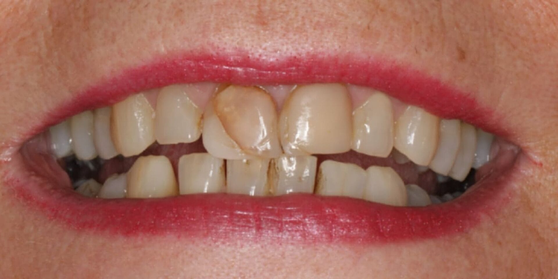
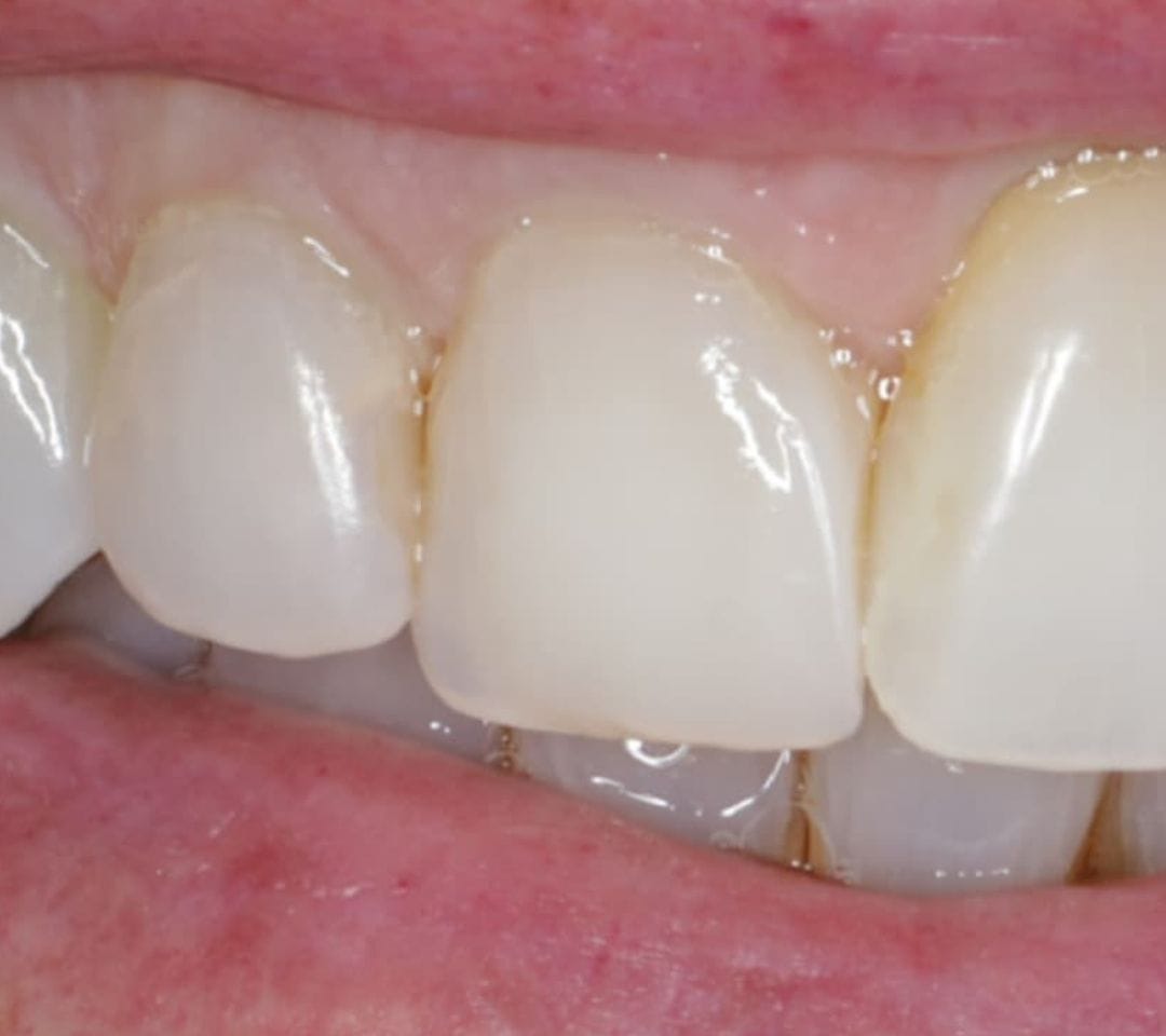
Referenssi 4
Värjätyneen sauman korjaus
Asiakasta häiritsi vanhan muovipaikan sauman erottuminen omasta hampaasta. Paikkaus korjattiin kerrostusmuovilla siten, että sauma ei enää erotu omasta hampaasta.
Referenssi 5
Tummentuneen muovipaikan vaihto
Asiakkaan vanha muovipaikka erottui omaa hammasta tummempana. Muovitäyte uusittiin omaan hampaaseen sulautuvaksi.
Kustannukset
| Esimerkkihintoja | Hinta |
|---|---|
| Konsultaatio Ensimmäinen konsultaatio on maksuton. Jos käyt konsultaatiossa useamman kerran, seuraavien konsultaatioiden hinta on 110€. | Maksuton |
| Keraamiset hammaslaminaatit Hinta sisältää huipputason hammasteknikon työn. | 1200 € / hammas |
| Kerrostusmuovilaminaatit Kerrostusmuovilaminaatit / koko hampaan muotoilu kerrostusmuovilla. | n. 400 € / hammas |
| Pienet muotoilut kerrostusmuoveilla Esimerkiksi vanhojen paikkojen vaihtaminen, hammasrakojen sulkeminen & lohkeamien korjaus. | n. 150–350 € per hammas |
| Invisalign-oikomishoidot Kiinteä pakettihinnoittelu. Hinta perustuu hoidon laajuteen. Tutustu hinnastoon täällä. | 2500–7350 € |
Tutustu eSmilen hinnastoon täällä.
Ajanvaraus
Voit varata Laurille ajan alla olevalla ajanvarauslomakkeella tai puhelimitse 010 219 8700.
Ohjeita ajanvaraukseen
Voit varata ajan yleisimpiin toimenpiteisiin nettiajanvarauksestamme. Mikäli sopivaa aikaa ei löydy tai et ole varma mikä olisi sinun tilanteeseesi sopiva palvelu tai oikea asiantuntija, voit varata ajan puhelimitse numerosta 010 219 8700 tai voit varata maksuttoman hoitoarviopuhelun täältä.
Ajanvaraukseen vaaditaan henkilötunnus ja tietojen suojauksessa käytetään ssl-varmennetta.
Huomioithan, että vain ensimmäinen konsultaatio on maksuton. Jos käyt konsultaatiossa useamman kerran samasta syystä, seuraavien konsultaatioiden hinta on 110€.
Ajan siirtäminen ja peruuttaminen
Alle kahden tunnin hoitoaika tulee peruuttaa tai siirtää vähintään 24 tuntia ennen varattua aikaa. Vähintään kahden tunnin hoitoaika sekä suu- ja leukakirurgin ajat tulee peruuttaa 72 tuntia ennen hoitoaikaa. Myöhemmin perutusta tai peruuttamattomasta ajasta veloitamme 100 € jokaista alkavaa tuntia kohden, kuitenkin enintään 300 €.
Peruutukset ja siirrot voi tehdä Oma eSmilen kautta, soittamalla 010 219 8700 tai sähköpostitse info@esmile.fi.

