Jukka Paakkanen
Jukka Paakkanen toimii hammaslääkärinä eSmilen Kuopion vastaanotolla. Jukan erityisosaamista ovat Invisalign-oikomishoidot, botuliinihoidot, kerrostusmuovit, hammaslaminaatit sekä implanttiprotetiikka. Lisäksi hän tekee monipuolisesti perushammashoitoa.
Jukka on valmistunut hammaslääkäriksi vuonna 2012. Ammattitaitonsa ylläpitämiseksi ja kehittämiseksi Jukka osallistuu aktiivisesti alan estetiikan koulutuksiin Suomessa ja ulkomailla. Jukka on erityisen kokenut botuliinihoidoissa, joita hän kouluttaa myös muille hammaslääkäreille.
Jukan työnkuva vastaanotolla on monipuolinen.Työssään Jukka kokee tärkeänä asiana jokaisen asiakkaan yksilöllisen ja rauhallisen kohtaamisen.
Löydät Jukan myös Instagramista @dr_jukka_paakkanen!
Erityisosaaminen
- Laajat esteettisen hammashoidon kokonaisuudet
- Invisalign-oikomishoidot (myös laajat comprehensive-hoidot)
- Keraamiset hammaslaminaatit
- Kerrostusmuovit
- Puuttuvan hampaan korvaaminen hammasimplantilla
- Botuliinihoidot (bruksismin hoito sekä esteettiset hoidot)

Jukka Paakkanen
Hammaslääkäri
eSmile Kuopio
Potilastapauksia
Referenssi
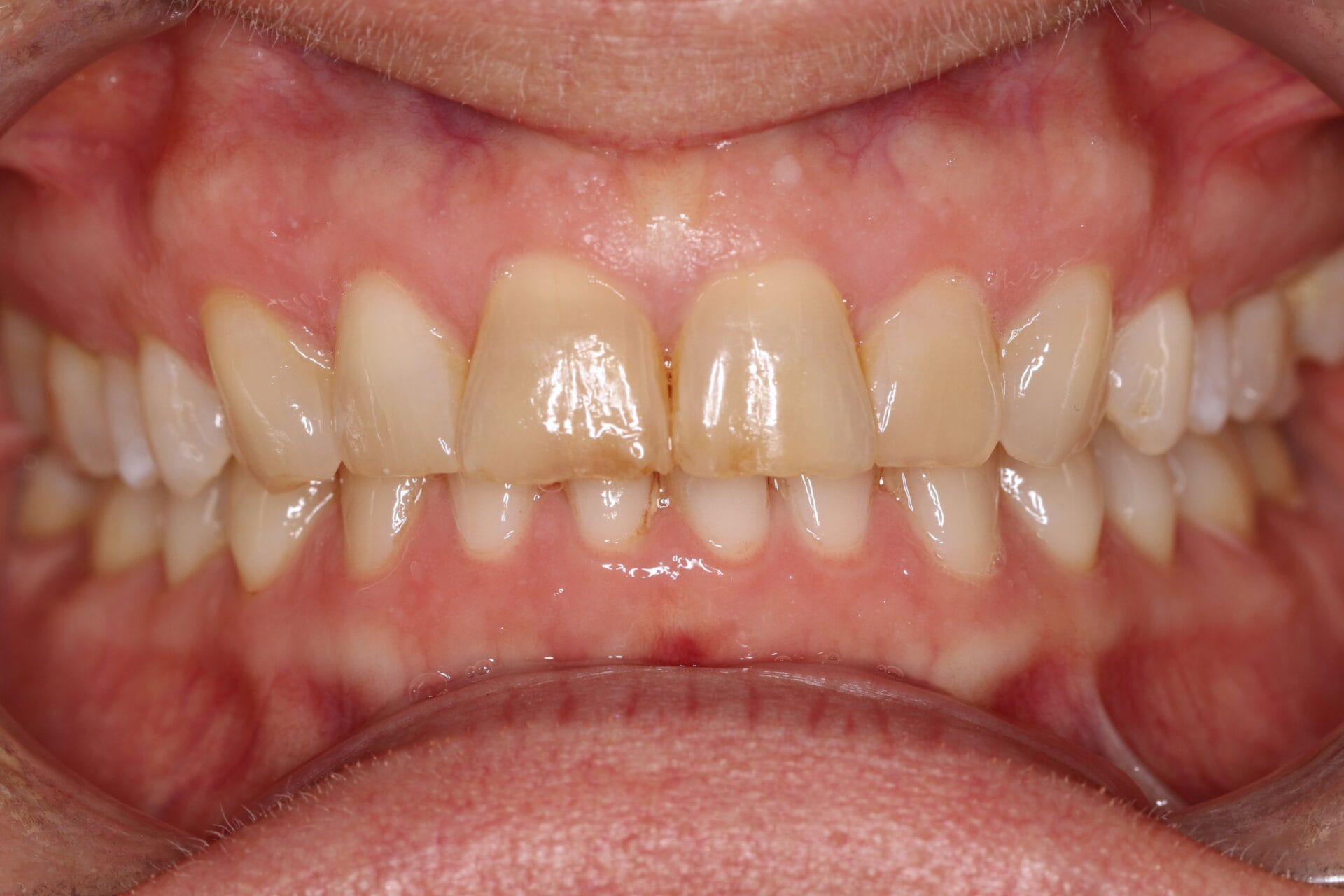
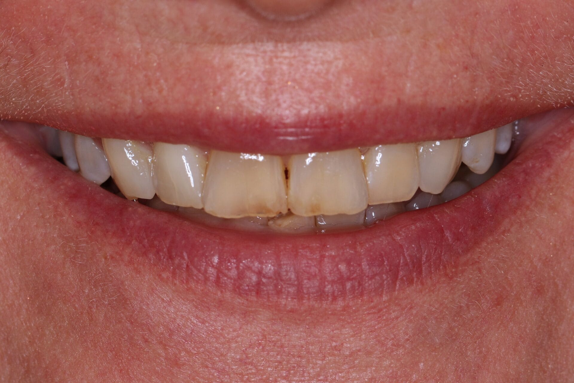
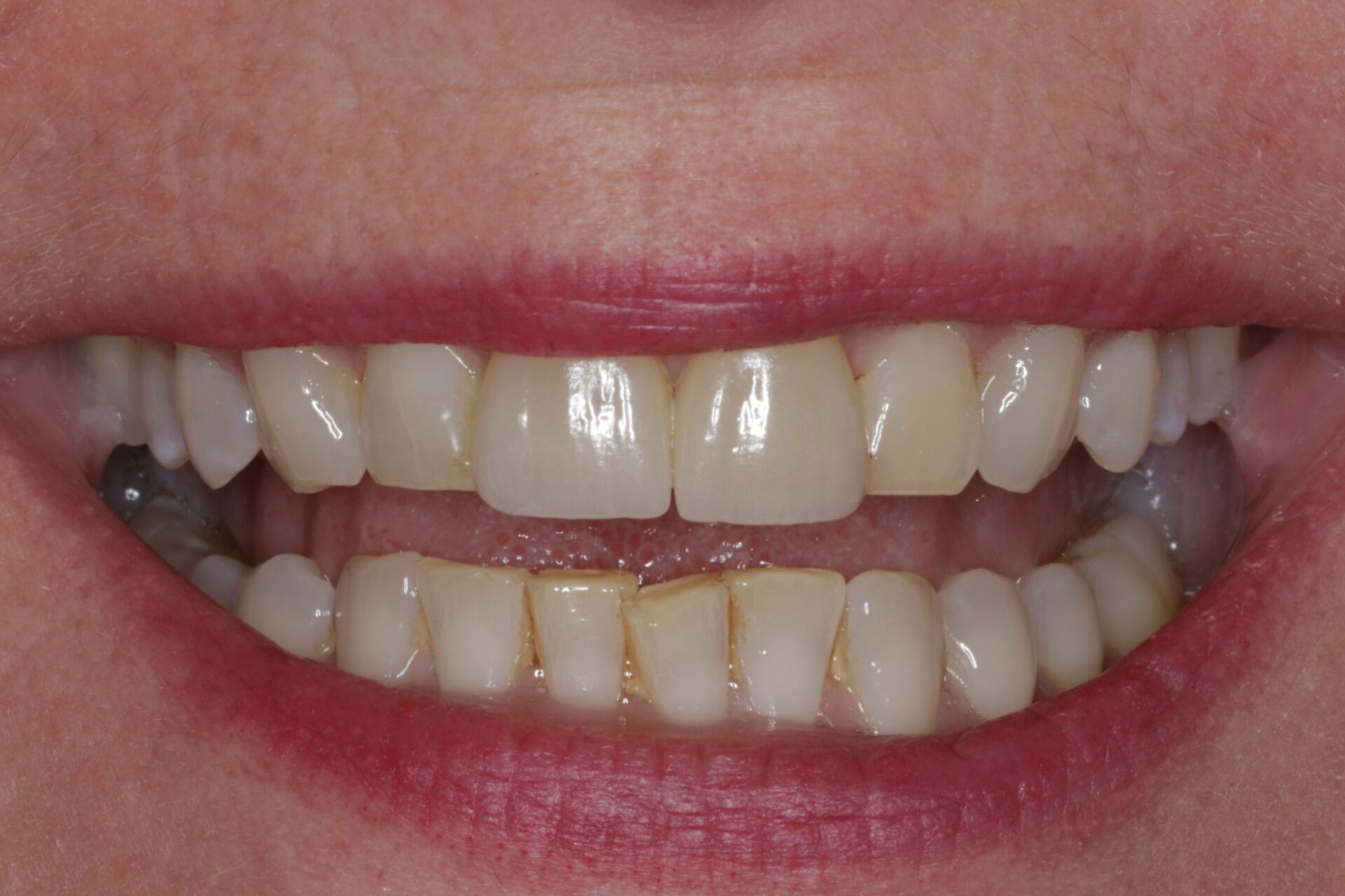
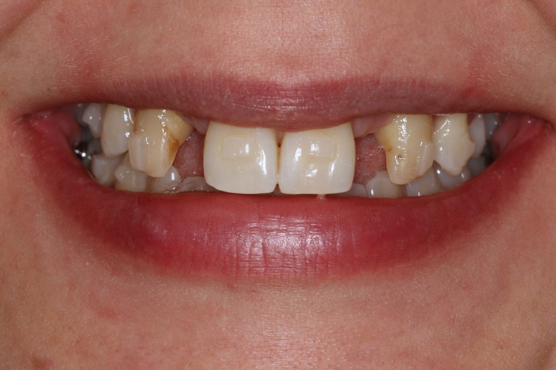
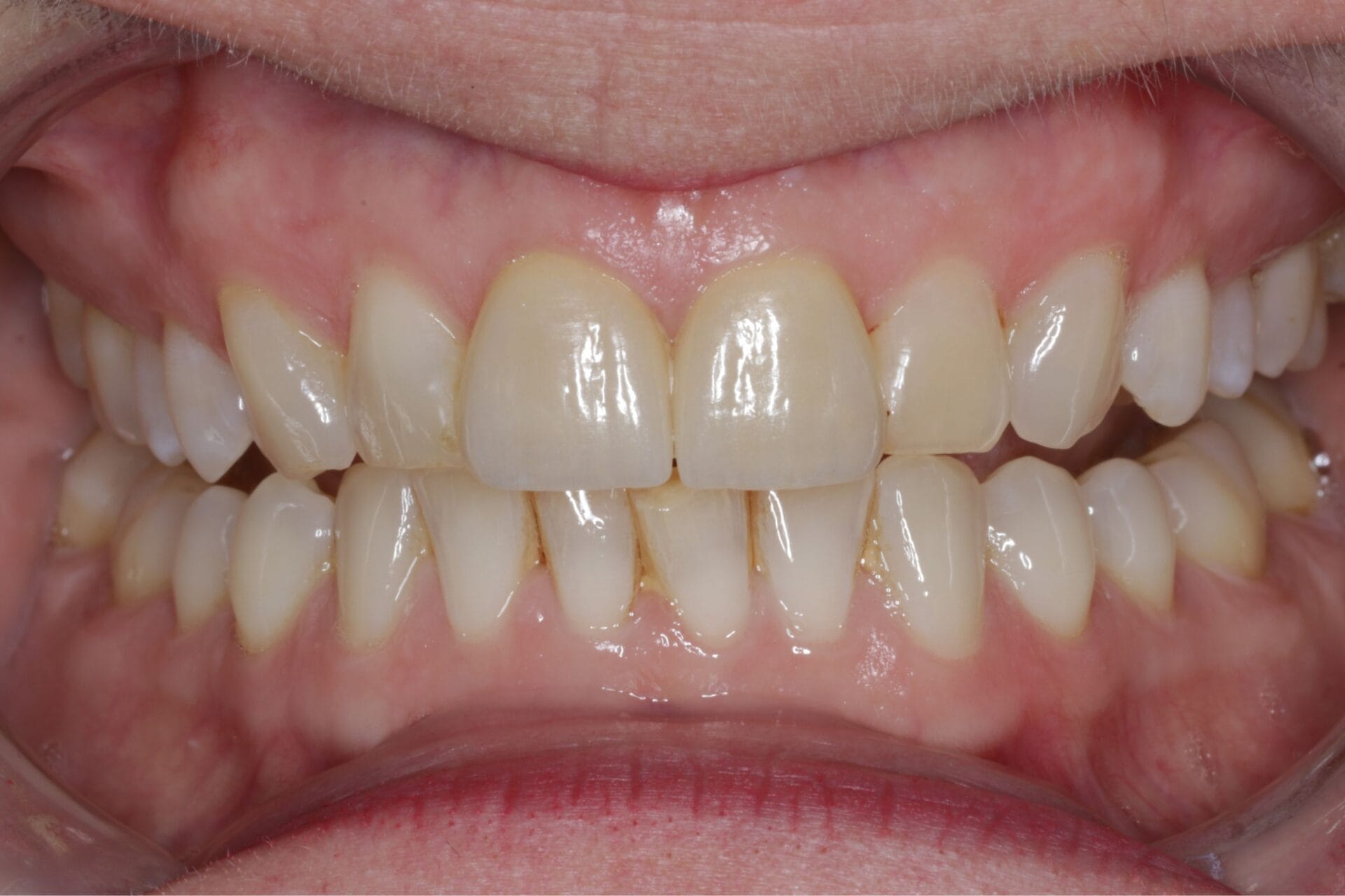
Kaksi kerrostusmuovilaminaattia
Asiakasta häiritsi kahden yläetuhampaan voimakas kuluminen. Kahteen etuhampaaseen tehtiin kerrostusmuovilaminaatit.
Referenssi
Diasteeman sulku kerrostusmuovilla
Asiakkaalla oli etuhampaiden välissä diasteema eli rako, joka suljettiin kerrostusmuovilla.
Referenssi
Invisalign-oikomishoito ja kaksi implanttia
Asiakkaalta puuttui kakkoshampaat. Toteutettiin laaja Invisalign-oikomishoito, jolla tehtiin tilaa hammasimplanteille. Implanttileikkauksen toteutti eSmilen suu- ja leukakirurgi Jarno Savolainen.
Referenssi
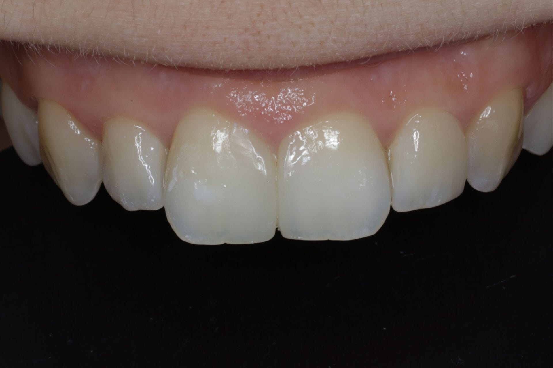
Kaksi keraamista hammaslaminaattia
Asiakkaalla oli kuluneet yläetuhampaat. Kahteen etuhampaaseen tehtiin ohuet keraamiset hammaslaminaatit ns. minimal-prep -tekniikalla eli hammasta hiottiin erittäin vähän.
Referenssi
Kahden etuhampaan laminaatit
Asiakkaalle tehtiin keraamiset hammaslaminaatit kahteen etuhampaaseen. Laminaatit toteutettiin ns. minimal-prep -tekniikalla eli omaa hammasta hiottiin vain erittäin minimaalisesti.
Referenssi
Kiillelaikkuhoito
Asiakkaalle tehtiin kahteen etuhampaaseen kiillelaikkuhoito (icon- / white spot -hoito). Lisäksi tehtiin pienet esteettiset muovipaikat.
Referenssi
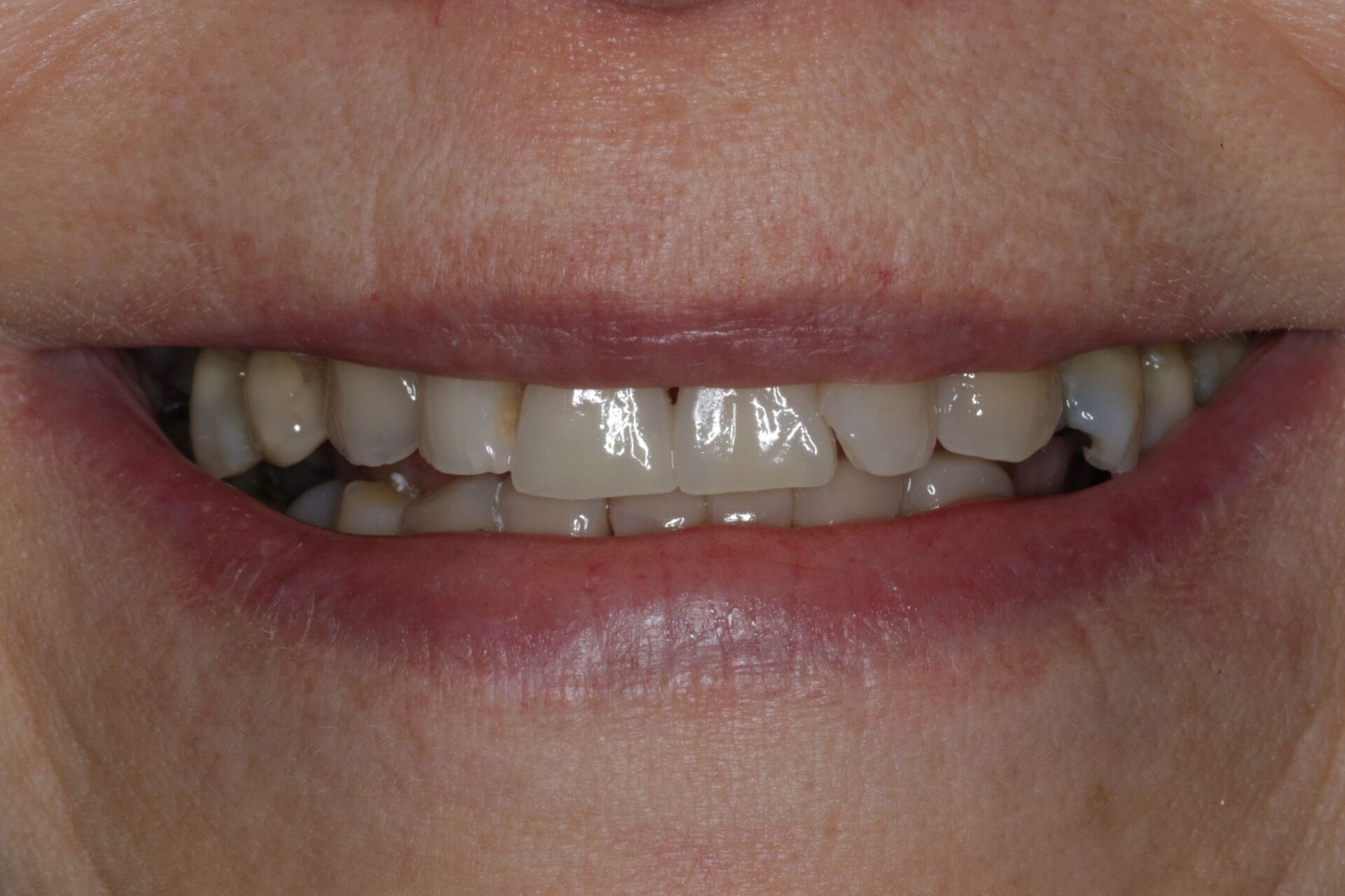
Endovalkaisu tummuneeseen hampaaseen
Asiakkaalla oli aikaisemman juurihoidon seurauksena tummentunut hammas. Hampaaseen tehtiin endodonttinen eli hampaan sisäinen valkaisu (ns. endovalkaisu).
Referenssi
Esteettinen botuliinihoito
Asiakkaalle tehtiin yläkasvojen esteettinen botuliinihoito.
Kustannukset
Hoitojen kustannukset riippuvat hoidon laajuudesta ja vaativuudesta. Saat kustannusarvion konsultaatiokäynnillä.
| Esimerkkihintoja | Hinta |
|---|---|
| Konsultaatio Ensimmäinen konsultaatio on maksuton. Jos käyt konsultaatiossa useamman kerran, seuraavien konsultaatioiden hinta on 110€. | Maksuton |
| Kerrostusmuovilaminaatit Tyypillisesti suuri muutos saadaan aikaan 6–10 ylähampaan muovilaminaateilla. | n. 400€ / hammas |
| Pienet muotoilut kerrostusmuoveilla | n. 150–300€ per hammas |
| Keraamiset hammaslaminaatit | n. 1200€ / hammas |
| Invisalign-oikomishoidot Kiinteä pakettihinnoittelu. Hinta perustuu hoidon laajuteen. Tutustu hinnastoon täällä. | 2500–7350 € |
| Hammasimplantit Implantoinnin kustannukset riippuvat hoidon vaativuudesta. Tyypillisesti kustannukset ovat n. 2600–4000€. | alk. 2600€ |
| Botuliinihoidot Kolme esteettistä aluetta tai bruksismin hoito. Hinta sis. lääkeaine ja palvelumaksu. | alk. 383,90€ |
Tutustu eSmilen hinnastoon täällä.
Ajanvaraus
Voit varata Jukalle ajan alla olevalla ajanvarauslomakkeella tai puhelimitse 010 219 8700.
Ohjeita ajanvaraukseen
Voit varata ajan yleisimpiin toimenpiteisiin nettiajanvarauksestamme. Mikäli sopivaa aikaa ei löydy tai et ole varma mikä olisi sinun tilanteeseesi sopiva palvelu tai oikea asiantuntija, voit varata ajan puhelimitse numerosta 010 219 8700 tai voit varata maksuttoman hoitoarviopuhelun täältä.
Ajanvaraukseen vaaditaan henkilötunnus ja tietojen suojauksessa käytetään ssl-varmennetta.
Huomioithan, että vain ensimmäinen konsultaatio on maksuton. Jos käyt konsultaatiossa useamman kerran, seuraavien konsultaatioiden hinta on 110€.
Ajan siirtäminen ja peruuttaminen
Alle kahden tunnin hoitoaika tulee peruuttaa tai siirtää vähintään 24 tuntia ennen varattua aikaa. Vähintään kahden tunnin hoitoaika sekä suu- ja leukakirurgin ajat tulee peruuttaa 72 tuntia ennen hoitoaikaa. Myöhemmin perutusta tai peruuttamattomasta ajasta veloitamme 100 € jokaista alkavaa tuntia kohden, kuitenkin enintään 300 €.
Peruutukset ja siirrot voi tehdä Oma eSmilen kautta, soittamalla 010 219 8700 tai sähköpostitse info@esmile.fi.

