Hannu Vesanen

Hannu Vesanen
eSmilen johtava hammaslääkäri
eSmile Helsinki
“Smile is the prettiest thing you can wear”
Mielenkiinnon kohteet ja erityisosaaminen: hammaslaminaatit, Invisalign, etualueiden estetiikan vaativat hoitokokonaisuudet
Minulle estetiikkaan kouluttautuminen ja kiintyminen ei ole tullut itsestäänselvyytenä. Valmistuin hammaslääkäriksi 1998 ja pian tämän jälkeen syvennyin tekemään posliinitäytteitä, jotka kestävät aikaa ja kunnioittavat hyvää purentaa. Jatkuva tarve syventyä asiakokonaisuuksiin, joille ei ollut tarjolla koulutusta Suomessa, ajoi minut kohti kansainvälisten järjestöjen koulutuksia ja toimintaa. Olin pitkään SAED:n jäsen (Scandinavian Academy of Cosmetic Dentistry) ja sieltä sainkin paljon lisäoppia ja suosituksia pyrkiä eteenpäin. Pian sen jälkeen ajauduin estetiikan maailman kattojärjestön AACD:n (American Academy of Cosmetic Dentistry) pariin Yhdysvaltoihin. Halusin haastaa itseni non-comfort zonelle, eli suomalaisittain epämukavuusalueelle. Lähes viiden vuoden opiskelun ja kliinisen työskentelyn jälkeen valmistuin ja sain Suomen ensimmäisenä hammaslääkärinä AACD-tutkinnon valmiiksi ollen silloin Euroopan seitsemäs AACD-järjestön 25-vuotisessa historiassa.
Lue lisää
Yhdysvalloissa havaitsin kuitenkin epäkohtia, joita halusin korjata omassa työssäni. Voisin kutsua itseäni pioneeriksi ”Minimal invasive – Maximal results” -ajatuksessa. Nykyään luennoin paljon Euroopassa peilaten vahvasti edellä mainittuun sloganiin. Pohjimmaisena ajatuksena on luoda kaunista ja kestävää ilman, että hampaita tarvitsee porata tarpeettomasti. Tässä vaiheessa hampaiden oikominen tuli olennaisesti mukaan tärkeänä osana hoidon toteutusta. Ajatus oli saada hampaat mahdollisimman hyvään asentoon ennen posliinikuorikoiden tai esteettisten muovien tekoa. Eihän kylpyhuoneen kaakelointiakaan voida tehdä vinoille seinille ilman, että pohjatyöt ovat kunnossa. Hampaita oikomalla saadaan myös purenta tasapainoon, mikä palvelee posliinikuorikoiden ja kerrostusmuovien pitkäikäisyyttä. Lisäksi tasapainoinen ja toimiva purenta näkyy osana ihmisen hyvinvointia.
2010-vuoden alussa hampaiden esioikomishoito tuli vahvasti mukaan työskentelyyni. Silloin Invisalign-hoitoja oli tehty maailmassa vajaa miljoona hoitoa. Nykyään eSmile on Diamond-tason Invisalign-hoidon tarjoaja. Henkilökohtaisesti minulla on yli 1000:n Invisalign-oikomishoidon kokemus. Olen ollut jo vuosien ajan kansainvälinen Invisalign-kouluttaja ja luennoitsija, suurimmaksi osaksi aiheesta Minimal Invasive – Maximal results in Esthetic Dentistry, joka vapaasti suomennettuna tarkoittaa mahdollisimman kudoksiin kajoamatonta hoitoa upeilla, maksimaalisilla tuloksilla. Vuosien tuoman kokemuksen johdosta olen saanut Key Opinion Leader eli KOL-statuksen Invisalign-asiantuntijoiden työryhmässä. Nykyään työskentelen hyvin läheisesti Align Technologyn eli Invisalign-muottien takana olevan yrityksen kanssa ja toimin erilaisissa asiantuntijaryhmissä kehittämässä läpinäkyvien Invisalign-muottien kehitystä.
eSmile on sai vuonna 2021 Invisalignin korkeimman statuksen Diamond Apex Provider. Alle 1% kaikista maailman Invisalign-tarjoajista kuuluu tähän ryhmään, joten saavutus on kansainvälisestikin merkittävä. Vahvinta ydinosaamistani ja sydäntäni lähimpänä ovat Invisaling-oikomishoidot ja niiden lopuksi tehtävät posliinikuorikkohoidot, joissa piilolinssiäkin ohuemmat ja huippuestetiikkaa edustavat laminaatit asetetaan lähes koskemattomille hampaiden pinnoille. Lukuisten kansainvälisten kontaktieni kautta minulla on ollut mahdollisuus ja kunnia työskennellä alan parhaimpien kanssa sekä Invisalign-maailmassa että posliikuorikoita valmistavien teknikoiden parissa. Näin voimme sopivasti yhdistellä jokaiselle asiakkaalle parhaiten sopivaa tyyliä, olipa se Yhdysvalloissa, Brasiliassa tai pohjoismaissa edustavaa suuntausta.
Kun purenta on kunnossa ja hampaat hyvässä järjestyksessä, on niiden pinnoittaminen helppoa ja kudosta säästävää. Tärkein ajatus on, että jos posliinikuorikoita joudutaan joskus uusimaan, alta löytyy terve ja 100% kiille johon on taas helppo rakentaa uutta ja aikaa kestävää. Omien kudosten kunnioittaminen on minulle hammaslääkärinä eettisesti ainoa oikea ratkaisu. Maailmalla leviävät TikTok-videot kertovat, että tämä ajatus ei suinkaan ole itsestäänselvyys!
Suu on tärkeä osa yleisterveyttä ja hyvinvointia. Ongelmat esimerkiksi hampaiden asennossa, purennassa, muodossa tai muutoin toiminnallisuudessa ja estetiikassa aiheuttavat usein terveydellisten ongelmien lisäksi huomattavia itsetunto-ongelmia. Me haluamme palauttaa hymyn mahdollisimman monille kasvoille. Tästä syystä olemme tuoneet vuosien työllä yhteen parhaat esteettisen hammashoidon osaajat sekä maailman edistyksellisimmät hoitotekniikat ja olemmekin alamme edelläkävijä. Tämä kaikki tarkoittaa parasta mahdollista ammatillista osaamista ja digitaalisuutta sekä näiden jatkuvaa kehittämistä. Tarjoamme pysyvää ja helpotusta yksilöllisiin huoliin korjaamalla hampaiden asento-, muoto- ja värivirheet mahdollisimman eettisellä ja kestävällä tavalla, huomaamattomin hoitomenetelmin.
Meille kaunis hymy on luonnollisesti sopusoinnussa kantajansa kasvojen kanssa. Se on vapautunut, aito ja persoonallinen, jokaisen itsensä näköinen. Nähdessämme hymyn sellaisen asiakkaan kasvoilla, tiedämme onnistuneemme tehtävässämme.
Löydät minut myös Instagramista @drhannuvesanen!
Erityisosaaminen
- Keraamiset hammaslaminaatit
- Laajat laminaattihoidot
- Prepless-laminaatit (ilman hampaan hiomista)
- eSmile Premium -hammaslaminaatit
- Vaativat Invisalign-oikomishoidot
- Kerrostusmuovit
- Botuliinihoidot (bruksismi & yläkasvojen esteettiset hoidot)
- Laajat esteettistä silmää vaativat hoitokokonaisuudet
Potilastapauksia
Alla olevien esimerkkitöiden avulla haluamme osoittaa, miten monipuolista osaamista esteettinen hammashoito vaatii. Kauniiseen lopputulokseen voidaan päästä monella eri tavalla. Voimme aidosti tarjota jokaiselle asiakkaallemme juuri hänelle sopivan hoitovaihtoehdon.
Mistä hoidosta olet kiinnostunut?
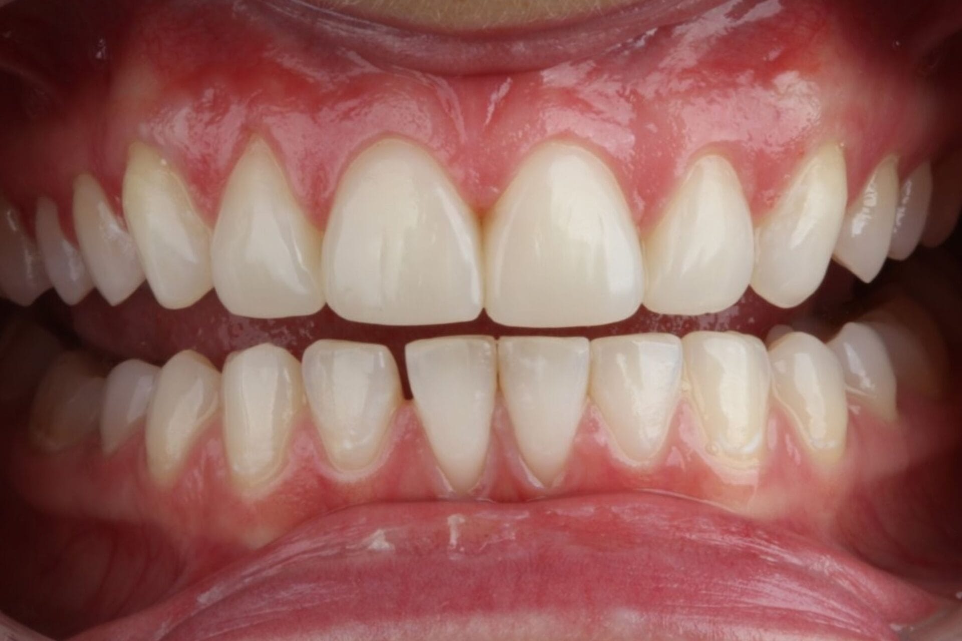
Keraamiset hammaslaminaatit
Keraaminen hammaslaminaatti eli posliinikuorikko on hiuksenhieno ja ohut pinnoite, joka kiinnitetään oman hampaan päälle. Vastaanotollamme käytetään etualueiden posliinikuorikkotöissä ainoastaan tarkoin valittujen hammasteknikoiden käsityönä asiakkaalle valmistamia piilolinssin ohuita hammaslaminaatteja.
Referenssi
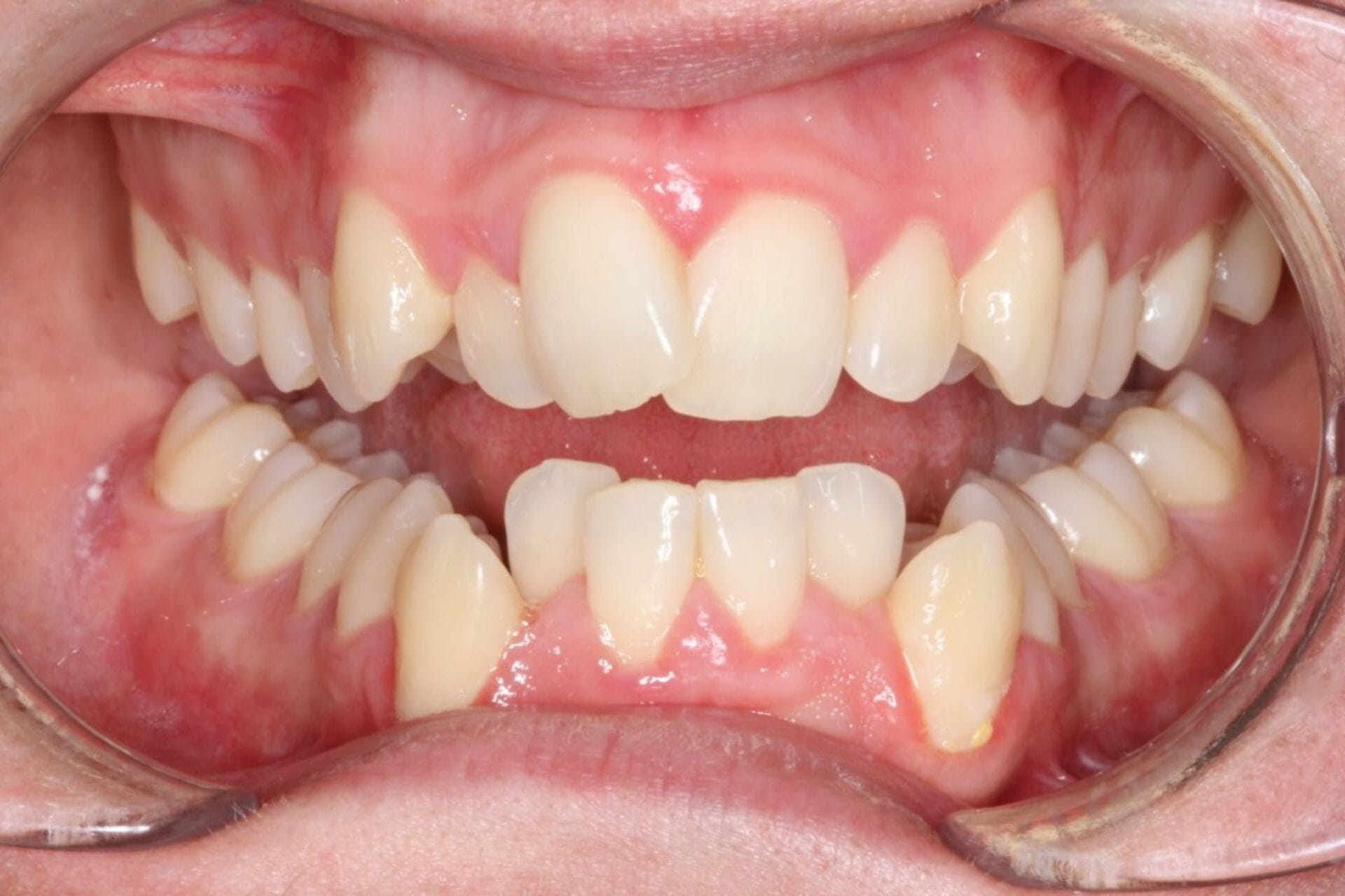
Lisää volyymiä hammaslaminaateilla
Asiakkaalle oli tehty muutamia vuosia aikaisemmin Invisalign-oikomishoito. Asiakas kuitenkin halusi lisää volyymiä hampaistoonsa ja korjata purennan aiheuttamat lohkeamat etualueella.
Koska hampaat olivat täysin suorat oikomishoidon jäljiltä, aloitettiin 10 hampaan laminaattityö. Ennen minimaalisia preparointeja hampaat puhdistettiin ja valkaisulla pyrittiin saamaan mahdollisimman hyvä lopputulos.
Referenssi
Unelmien hymy hammaslaminaateilla
Asiakas hakeutui vastaanotolle ensimmäisen kerran vuonna 2019. Hän toivoi muutosta hampaiden epäjärjestykseen ja synnynnäisesti pieneen kokoon.
Hoidoksi valittiin Invisalign-oikomishoito ja lopputulos viimeisteltiin kerrostusmuoveilla. Ajan myötä hampaisto ja vanhat kerrostusmuovit olivat hieman kuluneet ja asiakas alkoi kaivata lisää volyymia ja näyttävyyttä hymyynsä.
Viisi vuotta myöhemmin toteutettiin kymmeneen ylähampaaseen keraamiset hammaslaminaatit. Koska hampaat olivat järjestyksessä ja synnynnäisesti pienikokoisia, laminaatit tehtiin täysin ilman oman hampaan hiomista.
Referenssi
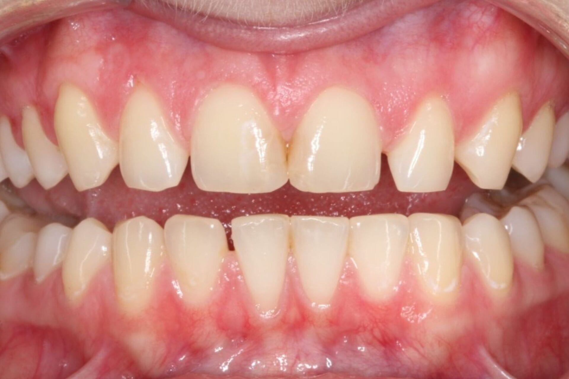
Neljän etualueen hampaan laminaattihoito
Asiakkaalla oli kulumaa yläetualueella ja toisessa etuhampaassa vanha värjäytynyt muovipaikka. Toteutettiin neljään yläetualueen hampaaseen keraamiset hammaslaminaatit.
Referenssi
Neljä yläetualueen hammaslaminaattia
Asiakkaalle toteutettiin Invisalign-oikomishoito ja lopputulos viimeisteltiin hampaiden valkaisulla ja keraamisilla hammaslaminaateilla neljään yläetualueen hampaaseen.
Referenssi
Vanhojen laminaattien uusiminen
Asiakkaalla oli neljässä yläetualueen hampaassa toisaalla tehdyt hammaslaminaatit.
Hoidon aluksi tehtiin suppea Invisalign i7 -oikomishoito ja lopuksi näihin neljään hampaaseen tehtiin keraamiset hammaslaminaatit.
Referenssi
Vanhojen muovitäytteiden korvaaminen keraamisilla laminaateilla
Asiakas koki ongelmaksi vanhat ja huonokuntoiset muovitäytteet etualueella. Lisäksi hampaiden välissä oli häiritseviä rakoja.
Hoitona päädyttiin tekemään 10 kpl posliinilaminaatteja. Asiakkaan hampaat olivat luonnostaan kauniissa järjestyksessä, joten siirryttiin suoraan laminaattien valmistukseen.
Hampaita jouduttiin tässä tapauksessa hiomaan hyvin minimaalisesti. Ennen laminaattien valmistamista tehtiin hammaskiven poisto, soodapuhdistus ja kombinaatiovalkaisu.
Referenssi
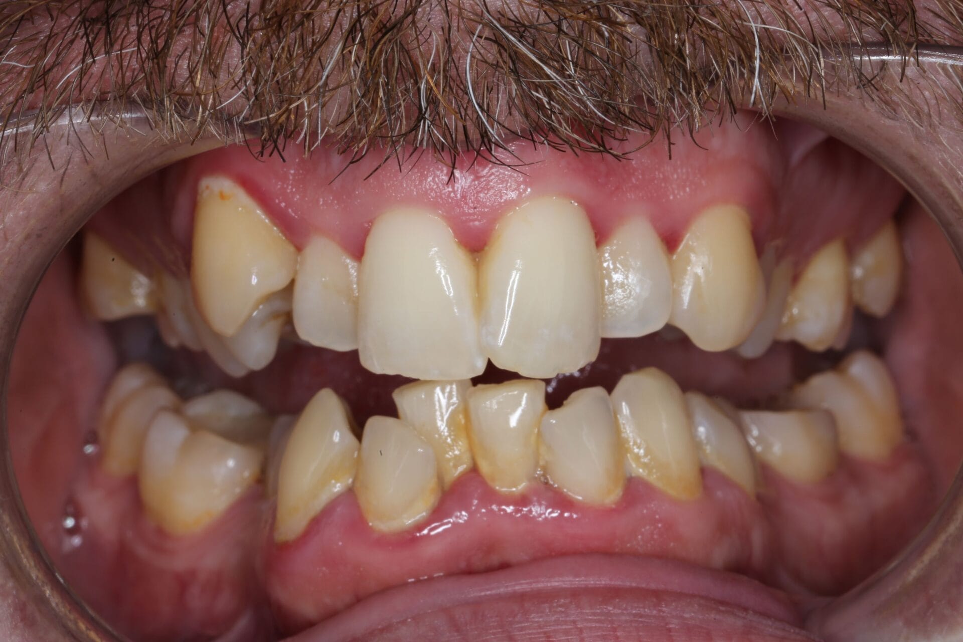
Kuluneen hampaiston korjaaminen keramialla
Asiakkaalla oli erittäin voimakkaasti kuluneet hampaat ja ongelmana oli myös rakojen aukeaminen hammasväleissä. Ensin hampaisto puhdistettiin ja pyrittiin valkaisemaan mahdollisimman hyvin ja hoito viimeisteltiin 10 posliinilaminaatilla ja osakruunuilla.
Invisalign-oikomishoidot
Olen tehnyt Invisalign-oikomishoitoja yli 15 vuoden ajan ja henkilökohtaisesti minulla on yli 1000 Invisalign-oikomishoidon kokemus. Toimin Invisalign-kouluttajana ja luennoitsijana niin Suomessa kuin kansainvälisesti.
Vuosien tuoman kokemuksen johdosta olen saanut Key Opinion Leader eli KOL-statuksen Invisalign-asiantuntijoiden työryhmässä. Nykyään työskentelen hyvin läheisesti Align Technologyn eli Invisalign-muottien takana olevan yrityksen kanssa ja toimin erilaisissa asiantuntijaryhmissä kehittämässä läpinäkyvien Invisalign-muottien kehitystä.
Referenssi
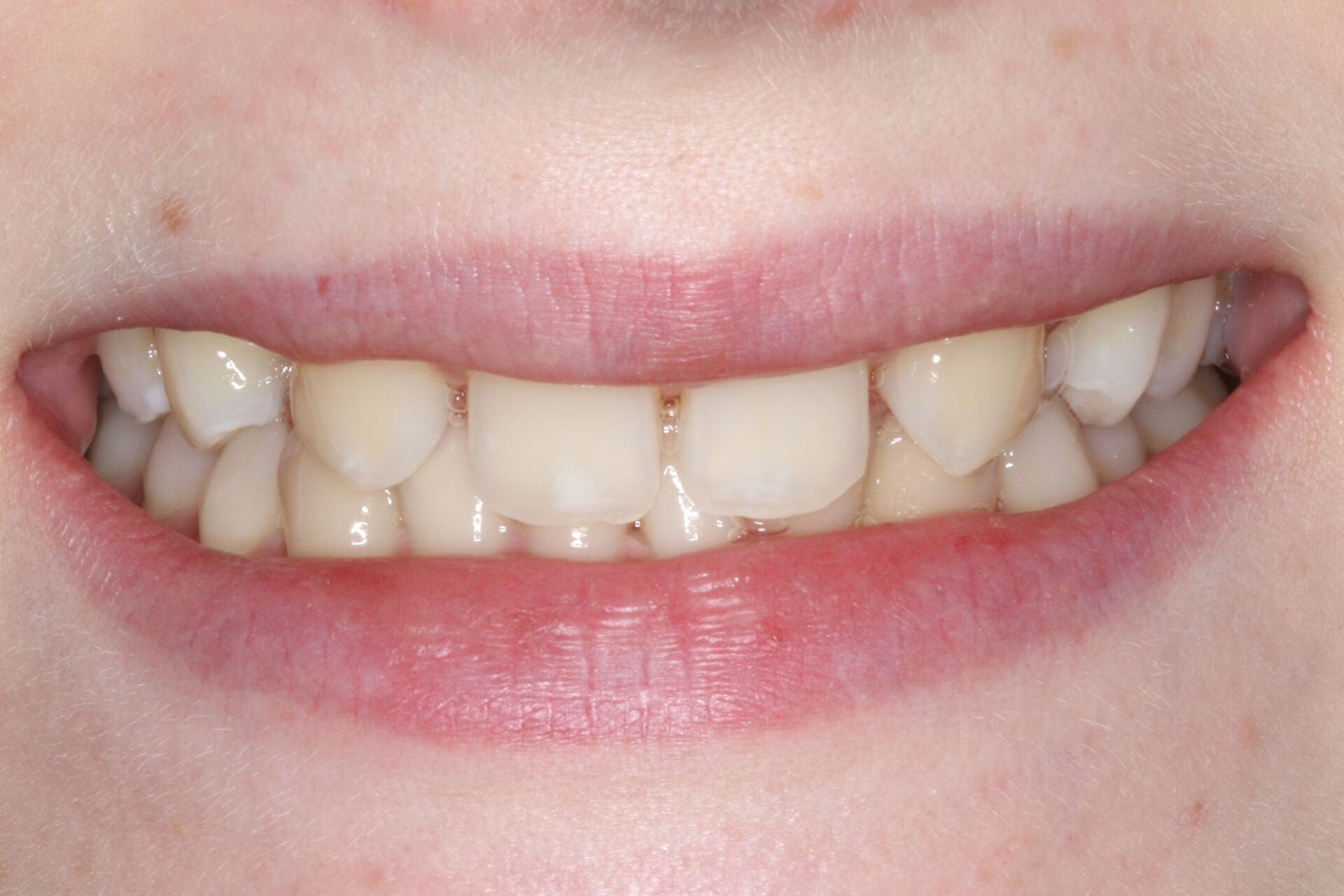
Oikomishoidolla suuri vaikutus itsevarmuuteen
Asiakkaan hymyyn saatiin valtava muutos pelkällä Invisalign-oikomishoidolla ja hampaiden valkaisulla.
Referenssi
Invisalign-oikomishoito
Asiakkaalla oli merkittävää ahtaumaa hampaistossa. Toteutettiin laaja Invisalign-oikomishoito.
Referenssi
Invisalign-oikomishoito
Asiakkaalla oli merkittävää ahtaumaa hampaistossa. Toteutettiin laaja Invisalign-oikomishoito.
Referenssi
Invisalign-oikomishoito ja pienikokoisen kakkoshampaan laminaatti
Asiakkaalle tehtiin Invisalign-oikomishoito ja synnynnäisesti pienikokoiseen kakkoshampaaseen keraaminen laminaatti.
Referenssi
Invisalign-oikomishoito
Asiakkaalle tehtiin Invisalign-oikomishoito ja lopputulos viimeisteltiin esteettisillä muoveilla kahden etuhampaan kärkiin.
Kerrostusmuovit
Referenssi
Kerrostusmuoveilla näyttävyytä hymyyn
Asiakkaalle tehtiin ensin Invisalign Lite -oikomishoito ja lopputulos viimeisteltiin kerrostusmuoveilla kuuteen yläetualueen hampaaseen.
Referenssi
Kerrostusmuoveilla luonnollisen kaunis lopputulos
Asiakkaalle oli tehty aikaisemmin oikomishoito ja esteettisiä muoveja toisen hammaslääkärin toimesta.
Viiteen yläetualueen hampaaseen tehtiin uudet pinnat kerrostusmuoveilla.
Referenssi
Kuuden hampaan kerrostusmuovit
Asiakkaalle tehtiin kuuteen yläetualueen hampaaseen kerrostusmuovit.
Referenssi
Invisalign Lite ja neljän hampaan kerrostusmuovit
Asiakkaalle tehtiin Invisalign Lite -oikomishoito ja hymy viimeisteltiin kerrostusmuoveilla neljään etuhampaaseen.
Asiakkaalle tehtiin Invisalign Lite -oikomishoito ja hymy viimeisteltiin kerrostusmuoveilla neljään etuhampaaseen.
Referenssi
Neljän hampaan kerrostusmuovit
Asiakkaan hymyyn saatiin merkittävä muutos neljän etuhampaan kerrostusmuoveilla.
Hammasimplantit
Implanttihoidoissa tekijöiden osaaminen ja käytettävien materiaalien laatu on ensiarvoisen tärkeää.
eSmilella implanttileikkaukset toteuttaa kokenut suu- ja leukakirurgi Jarno Savolainen ja käytämme huippulaadukkaita sveitsiläisen Straumannin implantteja. Varsinkin etualueella hammaslääkärin esteettisen silmän on oltava tarkka, jotta implanttikruunu ei erotu muista hampaista.
Referenssi
Synnynnäisesti puuttuvien hampaiden korvaaminen implanteilla
Asiakkaalta puuttui synnynnäisesti kakkoshampaat. Aluksi purenta korjattiin Invisalign-oikomishoidolla, jonka avulla tehtiin myös tilaa implanteille.
Implantointileikkauksen suoritti eSmilen suu- ja leukakirurgi Jarno Savolainen.
Referenssi
Loppusilaus uudelle hymylle kultaisella implanttikruunulla
Asiakkaalla oli limittäisyyttä hampaistossa sekä etualueen ristipurenta. Hoito aloitettiin Invisaling-oikomishoidolla rakentaen kaunis ja tasainen rivistö ja purennan tasapainotus.
Oikomishoidon jälkeen aloitimme korjaavan hoidon, jolla haluttiin korjata lohjenneita hampaiden kärkiä. Ylähampaisiin tehtiin 9 kpl posliinilaminaatteja ja lisäksi yksi puuttuva hammas korvattiin implantilla ja keltakultakruunulla. Ennen korjaavaa hoitoa hampaisto puhdistettiin ja valkaistiin kombinaatiovalkaisulla.
Referenssi
Vääristyneen hammaskaaren korjaus
Asiakas oli menettänyt tapaturmaisesti yhden keskimmäisen etuhampaan. Lapsena hampaat oli oiottu niin, että rakoa ei olisi. Tämä oli vääristänyt täysin hammaskaaren muodon.
Aloitettiin Invisalign-oikomishoito tavoitteena rakentaa tilaa tulevaa etualueen implanttia varten. Suunnittelu tehtiin yhteistyössä eSmilen suu-ja leukakirurgi, EHL Jarno Savolaisen kanssa.
Oikomishoidon loppuvaiheessa implantti asennettiin kuvassa vasemman puolen puuttuvalle alueelle. Koska alue ollut hampaattoman useita vuosia, joudutaan käyttämään paljon keinoluuta ja sidekudosta, jolla rakennetaan esteettisesti kaunis ympäristö tulevalle implanttikruunulle.
Hoidon lopuksi tehdään kombinaatiovalkaisu ja 4 kappaletta posliinihampaita, joista yksi on implanttikruunu ja kolme posliinilaminaatteja.
Kustannukset
Hoitojen kustannukset riippuvat hoidon laajuudesta ja vaativuudesta. Saat kustannusarvion konsultaatiokäynnillä.
| Esimerkkihintoja | Hinta |
|---|---|
| Konsultaatio Ensimmäinen konsultaatio on maksuton. Jos käyt konsultaatiossa useamman kerran, seuraavien konsultaatioiden hinta on 110€. | Maksuton |
| Keraamiset eSmile Premium -hammaslaminaatit | n. 1350€ / hammas |
| Invisalign-oikomishoidot Kiinteä pakettihinnoittelu. Hinta perustuu hoidon laajuteen. Tutustu hinnastoon täällä. | 2500–7350 € |
| Kerrostusmuovilaminaatit Tyypillisesti suuri muutos saadaan aikaan noin 6 ylähampaan muovilaminaateilla. | n. 450–500€ / hammas |
| Pienet muotoilut kerrostusmuoveilla | n. 150–350€ per hammas |
| Hammasimplantit Implantoinnin kustannukset riippuvat hoidon vaativuudesta. Tyypillisesti kustannukset ovat n. 2600–4000€. | alkaen 2600€ |
Tutustu eSmilen hinnastoon täällä.
Ajanvaraus
Voit varata Hannulle ajan alla olevalla ajanvarauslomakkeella tai puhelimitse 010 219 8700.
Ohjeita ajanvaraukseen
Voit varata ajan yleisimpiin toimenpiteisiin nettiajanvarauksestamme. Mikäli sopivaa aikaa ei löydy tai et ole varma mikä olisi sinun tilanteeseesi sopiva palvelu tai oikea asiantuntija, voit varata ajan puhelimitse numerosta 010 219 8700 tai voit varata maksuttoman hoitoarviopuhelun täältä.
Ajanvaraukseen vaaditaan henkilötunnus ja tietojen suojauksessa käytetään ssl-varmennetta.
Huomioithan, että vain ensimmäinen konsultaatio on maksuton. Jos käyt konsultaatiossa useamman kerran, seuraavien konsultaatioiden hinta on 110€.
Ajan siirtäminen ja peruuttaminen
Alle kahden tunnin hoitoaika tulee peruuttaa tai siirtää vähintään 24 tuntia ennen varattua aikaa. Vähintään kahden tunnin hoitoaika sekä suu- ja leukakirurgin ajat tulee peruuttaa 72 tuntia ennen hoitoaikaa. Myöhemmin perutusta tai peruuttamattomasta ajasta veloitamme 100 € jokaista alkavaa tuntia kohden, kuitenkin enintään 300 €.
Peruutukset ja siirrot voi tehdä Oma eSmilen kautta, soittamalla 010 219 8700 tai sähköpostitse info@esmile.fi.

